По статистике, каждую минуту в мире от пневмонии умирает два ребенка в возрасте до пяти лет, а каждый год от пневмонии и инфекций нижних дыхательных путей умирает 4 миллиона человек 25 сентября — Всемирный день легких. Мы решили развенчать главные мифы об этом опасном заболевании вместе с врачом пульмонологом Василием Штабницким.
Правда ли, что пневмония – это всегда высокая температура?
В.Ш.: Нет, конечно это неправда. В большинстве случаев пневмонии действительно наблюдается высокая температура, но есть определенное количество пневмоний, так называемые атипичные, для которых как раз высокая температура не характерна. Она может быть субфебрильной и не подниматься выше 38 градусов.
Правда ли, что пневмония чаще всего бывает последствием, осложнением ОРВИ?
В.Ш.: Скорее миф. Большинство случаев пневмонии развиваются на фоне абсолютного здоровья. Хотя, конечно, какой-то предрасполагающий фактор всегда есть. Но ОРВИ отнюдь не на первом месте. Длительное ОРВИ не приводит к пневмонии. То есть можно сказать, что между ОРВИ и пневмонией как таковой связи нет.
Правда ли, что сиропы от кашля и антибиотики «на всякий пожарный» во время ОРВИ защитят от пневмонии?
В.Ш.: Не защитят. Антибиотики профилактически, к сожалению, не работают. А работают только по факту. Сиропы, конечно, есть разные. Но в целом это все симптоматические средства, которые меняют свойства мокроты и от пневмонии никак защитить не могут. За исключением редких случаев, когда, допустим, пациент с муковисцидозом пьет муколитики, поскольку ему показана мокроторазжижжающая терапия, и вот она да, может снижать риск пневмонии. Но это исключительный и очень редкий случай.
Правда ли, что пневмонию можно не услышать?
В.Ш.: К сожалению, это действительно так. Это несовершенство метода аускультации (лат. auscultatio — «выслушивание» — физический метод медицинской диагностики, заключающийся в выслушивании звуков, образующихся в процессе функционирования внутренних органов — прим. ред.). Некоторые небольшие пневмонии, особенно те, что располагаются не со стороны поверхности легких, а внутри, ближе к сердцу, действительно очень сложно услышать даже хорошему опытному врачу.
Правда ли, что пневмонию обязательно нужно лечить антибиотиками?
В.Ш.: Тут сложно. Согласно российским рекомендациям, бактериальную классическую пневмонию мы должны лечить антибиотиками. На Западе потихонечку набирает популярность такой взгляд, что самые легкие пневмонии, которые не сопровождаются повышением белка, отвечающего за воспаление, можно не лечить антибиотиками. И исследования подтверждают, что время выздоровления у таких пациентов сокращается, поскольку они не получают антибиотики, и уменьшается вред от побочных эффектов употребления антибиотиков. То есть это не ухудшает прогноз, а, напротив, ускоряет выздоровление, и пациент быстрее покидает госпиталь. Но это справедливо только для самых легких пневмоний!
Показанием к парентеральному введению антибиотиков, и это кстати не уколы, а только внутривенное введение, является только невозможность проглотить суспензию.
Правда ли, что антибиотики при пневмонии необходимы исключительно в уколах?
В.Ш.: Биодоступность антибиотиков не отличается между пероральной (сиропы, суспензии, таблетки) формой и парентеральной (инъекции). И соответственно показанием к парентеральному введению антибиотиков, и это кстати не уколы, а только внутривенное введение, является только невозможность проглотить суспензию, таблетку или еще что-то или отсутствие пероральной формы антибиотика. И действительно такие антибиотики есть, но их очень мало. А так, многие антибиотики представлены во всех формах для приема.
Если пациенту показан условный цефтриаксон, который повсеместно используют в больницах, это значит, что пациент госпитализирован в больницу с тяжелой или среднетяжелой пневмонией. При таком течении болезни один из вариантов терапии — цефалоспоринами, и они действительно в большинстве своем вводятся только внутривенно. Но не внутримышечно! То есть ни о каких уколах речь идти не может.
Легкую пневмонию совершенно спокойно можно лечить амбулаторно.
Правда ли, что пневмонию лечат только в условиях стационара?
В.Ш.: Нет. Опять же, зависит от ее формы. Легкую пневмонию совершенно спокойно можно лечить амбулаторно, и в свою очередь именно легкая форма пневмонии пока что доминирует в распространенности заболевания. Если нет выраженной интоксикации, пневмония протекает без каких-то тяжелых признаков, сохраняется хорошее самочувствие, то госпитализация не требуется.
Целесообразность госпитализации при пневмонии:
- уровень кислорода в крови ниже 90%
- обезвоживание
- выраженная интоксикация
- умеренная или тяжелая дыхательная недостаточность
- нет эффекта от проводимой терапии в течение 48-72 часов
- сопутствующие заболевания
- Осложнения пневмонии
- Подозрение на вирулентный штамм инфекции (например золотистый стафилококк)
Правда ли, что тяжесть протекания пневмонии зависит от того, каким возбудителем она вызвана?
В.Ш.: Это правда. Бактериальный агент, вызвавший пневмонию, действительно имеет значение, хотя и не решающее. Микоплазменная и хламидийная пневмония чаще протекают в легкой форме. А вот легионеллезная – в тяжелой. Стрептококковая – 50 на 50. Бывает что обходится легкой формой, а бывает, что перерастает и в тяжелую.
Правда ли, что не существует прививки от пневмонии?
В.Ш.: Прививка от пневмонии существует. Вернее даже несколько. Пневмокококковая вакцинация, либо 13-валентная, либо 23 валентная, которые входят в Национальный календарь прививок. Прививка от гриппа косвенно защищает от пневмонии, поскольку пневмония может быть осложнением этого заболевания. И гемофильная вакцинация защищает от гемофильной инфекции, которая тоже может давать пневмонию.
Читайте также:
После перенесенной пневмонии длительная субфебрильная температура
5 советов родителям, как обезопасить ребенка от пневмонии:
Вакцинация Превенар всем детям, согласно Национальному Календарю прививок, до года. И после года тоже можно.
Лечение сопутствующих заболеваний, которые кажутся какой-нибудь ерундой, типа дефицита витамина D, или дефицита железа.
Частое мытье рук, особенно в сезон вирусных инфекций.
Спорт, прогулки и хорошее питание.
Гигиена полости рта.
Правда ли, что при пневмонии не обязательно выявлять возбудителя инфекции?
В.Ш.: Это так. Есть экспресс-диагностика, которая позволяет у постели больного выделить бактерию, но это нужно только для среднетяжелых и тяжелых пневмоний. Легкие пневмонии не требуют определения возбудителя. Диагностику проводить можно, но целесообразно лишь в некоторых случаях.
Хороший врач может назначить лечение просто после осмотра и выявления всей клинической картины заболевания. То есть для лечения пневмонии нам, по сути, не нужно ничего кроме подтверждения самого факта наличия пневмонии. В случае тяжелой и среднетяжелой пневмонии мы можем озаботиться выбором антибиотика более прицельно. Провести стрептококковый тест, на определение стрептококкового антигена в моче, и аналогичный тест на определение легионеллы в моче. Эти два теста позволяют подтвердить или исключить две серьезные инфекции и, соответственно, понять, в каком направлении двигаться.
Рентгенологическое выздоровление запаздывает от клинического.
Правда ли, что обязательно нужен контрольный рентген?
В.Ш.: В классической форме пневмонии при амбулаторном лечении рентген не нужен. Тем более, как правило, рентгенологическое выздоровление запаздывает от клинического. Порой рентгенологическая инфильтрация может держаться месяц. Поэтому повторный рентген, выполненный через неделю, или через две, через три, может выявить инфильтрат, который, скорее всего, заставит врача назначить еще один антибиотик. И таким образом, пациент получит лишний курс антибиотиков, который в свою очередь, может пагубно сказаться на его здоровье.
Контрольный рентген нужен, только если у нас что-то идет не так. Если пациент не выздоравливает, мы не видим положительной динамики или нам не нравится течение болезни, тогда мы делаем рентген снимок.
Красные флаги, указывающие на возможность пневмонии:
- второй эпизод подъема температуры, выше 38 за короткое время
- длительный подъем фебрильной температуры, больше одной недели
- чрезмерная слабость
- очень плохое самочувствие
- чрезмерная потливость
- боль в грудной клетке
- откашливание мокроты с кровью
- Одышка и признаки затрудненного дыхания
Родители самостоятельно не должны подозревать пневмонию у ребенка Для этого есть врач. Пневмония – врачебный диагноз. И только врач может его поставить, подтвердить и назначить соответствующее лечение.
***
Людмила Чиркова
Медицинские показания к проведению рентгенографии легких в двух проекциях (передняя, боковая) включают в себя подозрение на пневмонию при наличии следующих симптомов у пациента:
- Лихорадка выше 38°С с острым началом заболевания.
- Кашель с мокротой любого характера (от слизистой до гнойной с прожилками крови).
- Наличие аускультативных и перкуторных симптомов пневмонии: влажные хрипы, крепитация, укорочение тона.
- Изменения в общем анализе крови по типу лейкоцитоза с цифрами выше 10*109/л либо наличие палочкоядерного сдвига выше 10%.
При выявлении патологических изменений на рентген-снимке, характерных для пневмонии, пациенту назначается соответствующая терапия.
Графики проведения рентгенограмм
Однако после установления диагноза для заболевшего остается неясным, как часто ему требуется проведение дополнительных рентгенологических исследований.
Неосложненное течение пневмонии, легкая и средняя степени тяжести заболевания, как правило, требуют двукратного повторного рентген-снимка через 3-4 дня и через 6-10 дней от начала антибактериальной терапии. Если при втором контрольном исследовании отмечается положительная динамика в виде разрешения инфильтрации легочной ткани, значительного ее уменьшения, пациент считается выздоравливающим.
Критерии выздоровления при пневмонии перечислены ниже:
- Нормализация состояния больного (субъективная оценка).
- Исчезновение физикальных, рентгенологических и лабораторных симптомов воспаления легкого.
После лечения пациент передается в поликлинику для диспансерного наблюдения, сроки которого обычно составляют 6 месяцев. Осмотры терапевтом, выполнение ОАК, ОАМ, биохимического анализа крови и рентгенографии легких выполняются по графику 1-3-6 месяцев после клинического выздоровления.
Общая радиологическая нагрузка за весь период при неосложненном течении пневмонии составляет от 0,2 до 0,5 мЗв (метод цифровой рентгенографии).
Подход при осложненном течении
Осложненное течение заболевания либо отсутствие эффекта от антибактериальной терапии имеют другой подход к рентгенодиагностике.
При отсутствии эффекта от антибиотика (АБ) первое рентгенологическое исследование выполняется на 3-4 сутки от начала лечения. По его результатам (и клинике) оценивается потребность в смене этиотропной терапии. Затем проводится повторная рентгенография в двух проекциях на сроке 7-10 дней после замены АБ. Далее возможны варианты ведения пациента:
- При отсутствии инфильтрации легочной ткани на третьем контрольном рентген-снимке (через 14-20 дней после смены антибактериальной терапии) и клиническом выздоровлении пациент передается для диспансерного наблюдения в поликлинику, сроки которого удлиняются до года. В этот период проводятся осмотры, лабораторные и рентген-исследования по графику 1-3-6-12 мес.
- При отсутствии положительной рентген-динамики, как правило, необходимы консультация фтизиатра, проведение бронхоскопии, компьютерной томографии легких. Далее по результатам дополнительного обследования.
При осложненном течении пневмонии не существует никакого графика проведения рентгенологических исследований, так как иногда невозможно предугадать ход последующего развития заболевания.
Осложнения воспаления легкого, требующие частого проведения R-графии:
- Эмпиема плевры, пиоторакс.
- Абсцедирование легкого.
- Формирование осумкованного плеврита.
- Пневмоторакс.
- Отек легкого.
- Гидроторакс, выпотной плеврит.
- Сепсис.
Общая радиологическая нагрузка при пневмонии с осложненным течением может увеличиваться до 2 мЗв при использовании цифрового метода.
Читайте также:
Как лечить очаговую пневмонию в домашних условиях
В конце следует отметить, что решение о проведении дополнительного R-обследования при данном заболевании принимает лечащий врач на основании клинического осмотра, поэтому приведенные выше сроки никоим образом не могут быть использованы для оценки компетентности медицинского персонала.
Пневмония (воспаление легочных тканей) – это опасное заболевание легких. Поэтому и относиться к лечению этого недуга следует со всей серьезностью. Когда речь идет о остаточных явлениях после пневмонии, то под этим термином подразумевают нарушение различных функций человеческого организма после перенесенной болезни. Если этому не придавать надлежащего внимания, то такие остаточные явления могут привести к нежелательным последствиям.
Причины остаточный явлений
Во время пневмонии в альвеолах легкого накапливается определенный секрет. Из-за образовавшихся спаек происходит следующее:
- сужение просвета альвеол;
- блокировка газообмена;
- нарушение дыхания.
Легкие – это орган, который должен обогащать циркулирующую по сосудам кровь кислородом. Место, где происходит этот процесс, – альвеолы. Внешне они похожи на шарики, в которых расположено огромное количество маленьких кровеносных сосудов. Пневмония поражает легочную ткань, это также касается и альвеол. Болезнь нарушает дыхательную функцию органа.
Перенесенное заболевание снижает иммунитет, защитные силы организма ослабевают, и это часто становится причиной того, что происходит присоединение вторичных инфекций. Поэтому чаще всего причинами остаточных явлений после пневмонии бывают:
- сильное воздействие на организм вирусов;
- наличие хронического воспалительного процесса;
- нарушения в работе иммунной системы, низкий иммунитет.
После перенесенного воспаления легких иммунодефицит часто приводит к развитию различных заболеваний горла, носа, бронхов. У человека может появиться ангина, кашель, причиной которому могут быть бронхит или ларингит, насморк. Если пациент, недавно переболевший пневмонией, заболевает гриппом, то болезнь, как правило, протекает более тяжело.
Организму, ослабленному пневмонией, очень сложно бороться с чужеродными вирусами, которые его атакуют. Довольно часто причиной заболеваний легких и бронхов становится возбудитель, который носит название пневмококк. Этот вирус передается по воздуху, и уберечься от него очень непросто. По статистическим данным, наиболее распространенным недугом после перенесенного воспаления легких является бронхит. Кашель при таком бронхите затяжной и трудно поддается лечению.
Симптомы патологии
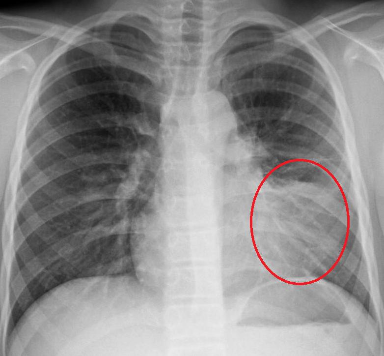
Как определить, что пневмония побеждена, если больной продолжает кашлять? Для этого необходимо сделать рентгеновский снимок легких. Иногда остаточные явления после пневмонии на рентгене наблюдаются как незначительные затемнения на легких. Их можно хорошо разглядеть на пленке.
После того как человек перенес воспаление дыхательного органа, на его тканях могут появиться:
- спайки разных размеров;
- рубцы;
- плеврит;
- эндокардит;
- плеврит.
Микробы, которые находятся в кровеносном русле, мешают крови нормально циркулировать в легких. Чтобы избавиться от остаточных изменений после перенесенного недавно заболевания, пациенту назначается дополнительное лечение, а также рекомендуется реабилитация в специальном санатории.
Последствия после пневмонии
Так как легкие и сердце работают в тесном контакте друг с другом, то довольно часто болезнь легких приводит к сбоям в работе сердца. Инфекция, продвигаясь по кровеносному руслу, попадает в сердечный орган и вызывает в нем воспалительный процесс, тем самым нарушая его функции. Это приводит к появлению эндокардита. При этом заболевании поражается сердечная оболочка и нарушается кровообращение.
Поражения дыхательных путей
Когда человек заболевает пневмонией, в воспалительный процесс иногда вовлекаются также и другие органы, связанные с дыхательной системой. Это могут быть бронхи и плевральная оболочка. Насколько они будут поражены, зависит от того, как тяжело протекает воспалительный процесс в легких и где именно расположен очаг воспаления. Самой тяжелой медики считают крупозную пневмонию, которая захватывает все легкие, листки плевры и большую часть бронхов.
Чтобы устранить воспалительный процесс в легких, назначается антибактериальная терапия. Процесс лечения легко контролировать с помощью рентгена. А вот бронхит как остаточное явление пневмонии на снимке можно не заметить. Это случается тогда, когда врач не имеет надлежащего опыта или рентгеновское оборудование низкого качества.
Иногда воспаления плевры и разных участков бронхов проходят самостоятельно, а иногда недуг затягивается на длительное время. Причиной этому может быть досрочное прекращение антибактериальной терапии. Такое явление может привести к тому, что ткани бронхиального дерева или плевры замещаются соединительными тканями. Такая патология вызывает снижение дыхательной функции. Полностью удалить ее почти невозможно.
О том, что антибактериальная терапия закончена, а воспалительный процесс продолжается, говорят следующие факты:
- непрекращающийся кашель;
- не нормализуется температура тела;
- присутствие боли в разных местах грудной клетки.
Можно увидеть остаточные явления после пневмонии на рентгене. Чтобы их не допустить, лечение антибактериальными препаратами должно продолжаться от 10 до 14 дней и никак не меньше. Кроме противовоспалительных средств, больной также должен принимать и отхаркивающие лекарства.
Астенический синдром
Под этим термином скрываются симптомы, которые в народе называют общим упадком сил. Астенический синдром проявляется в следующем:
- человеку трудно справляться даже с самой незначительной нагрузкой;
- даже умственная работа дается с большим трудом;
- в дневное время появляется быстрая усталость;
- даже утром, сразу же после сна, человек чувствует себя уставшим.
Чтобы побыстрее избавиться от астенического синдрома, врачи рекомендуют следующее:
- после окончания антибактериальной терапии принимать витаминные комплексы;
- в пище пациента должно быть как можно больше овощей, фруктов и белковых продуктов;
- для выздоравливающего человека очень полезны прогулки на свежем воздухе, только они должны быть умеренными и не слишком утомительными;
- следует повременить с выходом на работу, даже если она не требует применения физических усилий, физические нагрузки необходимо увеличивать постепенно и соблюдать щадящий режим не менее недели после окончания острого периода болезни.
Читайте также:
Острая пневмония заразна или нет
Дисбактериоз
Остаточные явления после пневмонии как у детей, так и у взрослых могут проявляться в нарушении нормальной микрофлоры кишечника. Также такая патология может быть вызвана побочным эффектом сильных антибиотиков. Дисбактериоз имеет следующие симптомы:
- стул жидкой консистенции, но патологический примесей нет;
- неприятные ощущения в кишечнике;
- вздутый живот;
- частая отрыжка, тошнота и рвота редко.
Чтобы не появился дисбактериоз, необходимо, принимая антибиотики, одновременно с ними употреблять лекарственные препараты, относящиеся к группе пребиотиков или пробиотиков. В состав пребиотиков входят различные питательные вещества, стимулирующие собственную микрофлору кишечника пациента. Пробиотики – это полезные лакто- и бифидобактерии, которые, попадая в кишечник человека, вытесняют из него патогенную микрофлору.
Если профилактика не была сделана своевременно и дисбактериоз развился, то эти препараты применяются для его лечения. Следует знать, что быстро вылечить патологию не удастся, это достаточно трудоемкий и длительный процесс.
Иммунодефицит
У переболевшего пневмонией человека часто появляется так называемый вторичный иммунодефицит. Он характеризуется повышением восприимчивости к разным инфекциям. Чтобы этого не случилось, рекомендуется:
- не перегружать себя в физическом плане;
- не переохлаждаться;
- питаться полноценно;
- принимать поливитамины.
Как лечить
Остаточные явления после пневмонии исчезнут достаточно быстро и легко, если лечение этого заболевания проводилось правильно и во время реабилитации пациент уделял своему здоровью должное внимание.
Как сама пневмония, как и применяемые для ее лечения лекарства действуют на организм негативно. Изматывающий кашель, постоянная температура, антибиотики и другие лекарственные препараты истощают иммунную систему больного. Поэтому, чтобы полностью восстановиться после болезни, врачи рекомендуют соблюдать некоторые правила.
Следует одеваться по погоде, не допуская даже малейшего переохлаждения. Из-за того что иммунная система после перенесенного недуга ослаблена, холод может стать причиной нового заболевания. Но это не значит, что нужно отказаться от прогулок на свежем воздухе. Такие прогулки очень полезны, так как они улучшают работу легких, подготавливают сердце к полноценным нагрузкам после окончательного выздоровления. Следует только учитывать, что прогулки должны быть не утомительными.
После перенесенного заболевания следует правильно питаться. Никакая особенная диета не нужна, но еда должна быть полезной, с большим количеством витаминов. В дневной рацион нужно включить много свежих овощей и фруктов, уменьшить количество жиров, мясные блюда рекомендуется готовить на пару.
Не следует очень переутомляться на работе, так как это может ухудшить общее состояние здоровья. Также необходимо избегать различных стрессовых ситуаций.
Дыхательная гимнастика
Этот метод восстановления после болезни помогает наладить газообмен и уменьшает повреждения на стенках бронхов. Некоторые рекомендуемые упражнения:
- махи руками в разные стороны;
- приседания;
- чтение вслух, проговаривание скороговорок.
Реабилитация с помощью массажа
Воздействие этой процедуры на организм, ослабленный болезнью, трудно переоценить. Благодаря массажу происходит следующее:
- крово- и лимфообращение улучшается;
- в легких уменьшаются спайки;
- подвижность грудной клетки восстанавливается;
- значительно улучшается общее состояние здоровья.
Народные методы
Если человека интересует, чем лечить остаточные явления от пневмонии, то кроме уже сказанного можно также посоветовать использовать методы народной медицины. После того как пациент переболел воспалением легких, его еще на протяжении 1-2 месяцев может преследовать кашель. Причиной этому является мокрота, которая осталась в легких после болезни.
В этом случае могут пригодиться бабушкины рецепты. Они могут быть использованы как вспомогательные методы. Настойки и отвары из лекарственных трав применяются как внутрь, так и для ингаляций и растирок. Лечение народными методами помогает значительно уменьшить время реабилитации.
Но если кашель сильный и не проходит долгое время, то лучше всего обратиться за помощью к врачу. Специалист определит, насколько опасны остаточные явления пневмонии, на рентгене.
Осложнения после болезни
Иногда бывает, что осложнения могут быть более опасными, чем сама пневмония. Поэтому очень важно как можно раньше обнаружить осложнение.
Существует два вида осложнений – те, которые локализуются в легких, и те, которые вне легких.
Легочные:
- абсцесс легкого;
- плеврит;
- недостаточность дыхательной функции;
- хронический бронхит;
- появление астматического элемента.
Внелегочные:
- миокардит;
- перикардит;
- гепатит;
- менингит.
Срок госпитализации
Пневмония – довольно серьезное заболевание, и чаще всего его лечат в условиях медицинского учреждения. Некоторые пациенты задают вопрос: выпишут ли при остаточных явлениях пневмонии? Срок нахождения в стационаре зависит от степени заболевания и от того, насколько эффективным является выбранное лечение.
Часто для успешной терапии этого недуга бывает достаточно 3-4 дней. Но бывают случаи, когда пациента еще оставляют в больнице для наблюдения за его состоянием. При осложненных формах срок пребывания в стационаре может составлять до 10 дней. Если же заболевание проходит в легкой форме, то больного через несколько дней выписывают домой, где он должен самостоятельно продолжать лечение. При повышенной температуре тела больной должен соблюдать постельный режим. Также, находясь дома, больной должен следовать всем рекомендациям врачей.







