Интерстициальная пневмония — прогрессирующий воспалительный процесс, затрагивающий стенки альвеол и соединительную ткань паренхимы, с возможной вторичной внутриальвеолярной экссудацией и исходом в фиброзную перестройку легочных структур. Заболевание сопровождается усиливающейся одышкой, сухим или с незначительной мокротой кашлем, болью в груди, субфебрилитетом, «теплым» цианозом, сердечно-легочной недостаточностью. Диагностика интерстициальной пневмонии включает анализ данных рентгенографии и КТ легких, дыхательных тестов, биопсии легких. При интерстициальной пневмонии применяются кортикостероиды, цитостатики, оксигенотерапия, ИВЛ.
Общие сведения
Интерстициальная (идиопатическая интерстициальная) пневмония – первичное острое или хроническое воспаление межуточной ткани легких неясной этиологии, характеризующееся ее фибропролиферативными изменениями и снижением дыхательной функции. Клинико-патологическая классификация выделяет идиопатические интерстициальные пневмонии как отдельную группу интерстициальных болезней легких (ИБЛ), точную распространенность которых сложно оценить из-за редкого установления правильного диагноза.
Среди множества проблем пульмонологии интерстициальная пневмония занимает особое место, т. к. характеризуется длительным тяжелым течением, нередко неблагоприятным исходом из-за неуклонно прогрессирующей фиброзной и склеротической трансформации легких. При интерстициальной пневмонии почти всегда отмечается снижение качества жизни и инвалидизация больных.
Интерстициальная пневмония
Причины
Этиология идиопатической интерстициальной пневмонии до конца не изучена. К заболеванию может быть причастно нарушение иммунологического гомеостаза, а пусковым фактором выступает некий антиген, к которому организм начинает вырабатывать антитела. Развитие данной патологии могут провоцировать инфекционные агенты (микоплазмы, хламидии, пневмоцисты, легионеллы, риккетсии, респираторные вирусы, CMV, вирус герпеса) и определенные виды пыли.
Склонны к интерстициальной пневмонии курящие или ранее курившие лица, ВИЧ-инфицированные и больные СПИДом (преимущественно дети). Лимфоидная форма может сочетаться с аутоиммунными заболеваниями (синдромом Шегрена), иммунопатиями (гипо- и гипергаммаглобулинемиями). Курение – одна из главных причин десквамативной пневмонии и респираторного бронхиолита. Криптогенная организующаяся пневмония имеет обычно идиопатический характер, но возможна связь с коллагенозами или медикаментозной терапией амиодароном, препаратами золота.
Патогенез
Воспаление при интерстициальной пневмонии протекает по типу пневмонита (альвеолита), носит чаще всего иммунный неинфекционный характер, затрагивая, главным образом, альвеолярные стенки и внеальвеолярную соединительную ткань легких, иногда с вторичной организацией экссудата внутри альвеол. Для интерстициальной пневмонии характерно первичное воспаление интерстициальной ткани с накоплением в ней иммунокомпетентных клеток, выделяющих различные повреждающие медиаторы (оксиданты, интерлейкин-1 и др.) на ранней стадии и фиброгенные факторы, вызывающие развитие фибропролиферативных реакций, на поздней стадии.
Классификация
Группа интерстициальных пневмоний включает в себя различные патоморфологические формы заболевания. К ним относятся:
- обычная интерстициальная пневмония (идиопатический легочный фиброз/фиброзирующий альвеолит)
- неспецифическая
- острая (синдром Хаммена–Рича)
- десквамативная (макрофагальная)
- лимфоидная (лимфоцитарная)
- криптогенная организующаяся
- респираторный бронхиолит, ассоциированный с ИБЛ.
Поражение при интерстициальной пневмонии может быть очаговым или диффузным, а по объему может охватывать целую долю или все легкое.
Все варианты интерстициальной пневмонии имеют некоторые патогенетические, морфологические и клинические отличия, особенности течения и прогноза:
- Идиопатический легочный фиброз (ИЛФ). Типичны нарушение архитектоники легких гетерогенного характера, рубцевание интерстициальной ткани, «сотовая» трансформация легких с множеством тонкостенных полостей без содержимого и инфильтрации, фокусы фибробластов.
- Неспецифическая интерстициальная пневмония (НСИП) имеет картину однородных воспалительных изменений интерстиция и фиброза с редким возникновением фибробластических фокусов. При острой интерстициальной пневмонии (ОИП) наблюдаются резкий отек альвеолярных стенок, образование внутри альвеол экссудата и гиалиновых мембран, частое развитие интерстициального фиброза.
- Криптогенная организующаяся пневмония (КОП), или облитерирующий бронхиолит с организующейся пневмонией протекает с сохранением легочной архитектоники, организованным внутриальвеолярным экссудатом и диффузными полипообразными грануляциями в бронхиолах.
- Десквамативная интерстициальная пневмония (ДИП). При десквамативной форме возникает незначительное равномерное воспаление интерстиция легочной паренхимы со скоплением альвеолярных макрофагов в выстилке альвеол.
- Лимфоидная интестициальная пневмония (ЛИП) проявляется сочетанием гомогенной выраженной лимфоцитарной инфильтрации интерстиция и перибронхиальных лимфоидных фолликулов.
- Респираторный бронхиолит. Типична бронхоцентричная миграция альвеолярных макрофагов при минимальных признаках воспаления и фиброза альвеол и интерстиция.
Наиболее часто встречаются идиопатический легочный фиброз и неспецифическая форма интерстициальной пневмонии. ИЛФ более характерен для пожилых мужчин (средний возраст 65 лет), прочие формы ИИП чаще выявляются у пациенток женского пола (35-55 лет), а неспецифическая и десквамативная иногда возникают у детей.
Симптомы интерстициальной пневмонии
Хроническое течение (более 12 месяцев) свойственно ИЛФ и ЛИП; подострое/хроническое – НСИП; подострое (месяцы и годы) – ДИП и РБ; острое/подострое – КОП; внезапное – ОИП. Клинические формы интерстициальной пневмонии сопровождаются малопродуктивным (сухим или с незначительной мокротой) кашлем, затруднением дыхания (ощущением «неполного вдоха») и нарастающей одышкой, сначала выраженной при нагрузках, затем в покое. Возникают боли в груди, эпизоды внезапной нехватки воздуха по ночам. Одышка ограничивает активность пациента, сопровождается быстрой утомляемостью, плохим сном, иногда потерей веса.
Симптомы бронхиальной обструкции при ИЛФ наблюдаются только у 4 % больных, значительно чаще они отмечаются при десквамативной форме. У больных может обнаруживаться «теплый» цианоз кожных покровов, который постепенно охватывает все тело. При КОП, НСИП, ЛИП возможна лихорадка. Проявления криптогенной формы часто напоминают симптомы бактериальной пневмонии. Для ИЛФ, неспецифической, десквамативной и лимфоцитарной интерстициальных пневмоний типичны «пальцы Гиппократа».
ИЛФ имеет незаметное начало с медленным нарастанием одышки и кашля, общей слабости, болей в мышцах и суставах, отсутствием лихорадки и кровохарканья. Прогрессирование этой формы сопровождается похуданием (вплоть до кахексии), развитием дыхательных нарушений, первичной легочной гипертензии. Тяжелая дыхательная недостаточность с проявлениями легочного сердца при ИЛФ может сформироваться за период от 2-х месяцев до 2-х лет.
Симптомы острой интерстициальной пневмонии (синдрома Хаммена–Рича) схожи с клиникой гриппа и острого респираторного дистресс-синдрома. Наблюдается молниеносное течение с быстро прогрессирующей дыхательной недостаточностью и высоким процентом летальных исходов.
Осложнения
Осложнениями интерстициальной пневмонии могут быть карнификация легкого с формированием пневмосклероза, развитие «сотового» легкого, дыхательной и сердечной недостаточности, присоединение вторичной бактериальной инфекции. Стадию «сотового» легкого при интерстициальной пневмонии определяют как прогностически неблагоприятную в плане возникновения рака легкого.
Читайте также:
Потею сильно после пневмонии у
Диагностика
Диагностика интерстициальной пневмонии затруднена, основана на результатах анамнеза, физикального осмотра, рентгенографии и КТ легких, исследования ФВД (спирометрии, бодиплетизмографии); торакоскопической или открытой биопсии легких.
При интерстициальной пневмонии выявляется мягкая крепитация: на ранней стадии, в основном, в прикорневых сегментах легких, на поздней — по всем легочным полям и в верхушках легких. Для ИЛФ типична инспираторная крепитация по типу «треска целлофана». Отмечаются жесткое дыхание, влажные или сухие мелкопузырчатые хрипы в легких. При перкуссии имеется небольшое укорочение звука, соответствующее области поражения. Инструментальная диагностика включает:
- Функциональные дыхательные тесты. Выявляют нарушение вентиляции и расстройства диффузионной способности легких (при ИЛФ — рестриктивного типа с резким и крайне резким снижением легочных объемов).
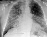
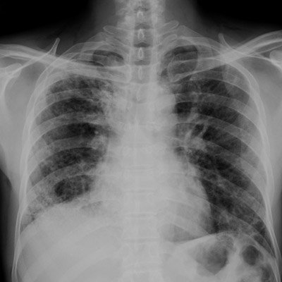
- Рентгенография. Рентгенологическими признаками интерстициальной пневмонии могут являться симметричные полупрозрачные затемнения по типу «матового стекла», в основном в нижних отделах легких; утолщение междолькового и внутридолькового интерстиция; кистозно-фиброзные изменения, периваскулярная и перибронхиальная инфильтрация и тракционные бронхоэктазы.
- КТ высокого разрешения. Помогает уточнить распространенность поражения легочной ткани, оценить стадию, активность и темпы прогрессирования фиброзного процесса.
- Биопсия. Важным этапом диагностики интерстициальной пневмонии является биопсия легкого с гистологическим анализом биоптатов легочной ткани.
- ЭхоКГ. Эхокардиографические симптомы нарушения гемодинамики в малом круге кровообращения отмечаются только при достаточно высоких показателях площади фиброзных изменений в легких.
Дифференциальная диагностика интерстициальной пневмонии проводится с бактериальной пневмонией, туберкулезом, другими ИБЛ. Лечебно-диагностические мероприятия при интерстициальной пневмонии подразумевают взаимодействие пульмонолога, торакального хирурга, врача-рентгенолога, патоморфолога.
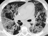
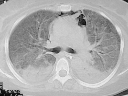
КТ ОГК. Интерстициальная пневмония, участки «матового стекла» (красная стрелка) и ретикулярные изменения.
Лечение интерстициальной пневмонии
Ранняя диагностика интерстициальной пневмонии положительно влияет на эффективность лечения и прогноз. В случае острой формы интерстициальной пневмонии поддержание дыхательной функции осуществляется с помощью оксигенотерапии и искусственной вентиляции легких. Лечение других форм базируется на применении глюкокортикостероидов (ГКС) и цитостатиков, способных оказывать выраженное противовоспалительное и иммуносупрессивное действие.
При НСИП, КОП, РБ-ИБЛ, ДИП и ЛИП показаны высокие или средние дозы преднизолона длительным курсом, при необходимости добавление цитостатических препаратов. Отказ от курения — обязательное условие разрешения десквамативной интерстициальной пневмонии и респираторного бронхиолита, ассоциированного с ИБЛ. При ИЛФ используют ГКС-монотерапию и более предпочтительные комбинации с азатиоприном или циклофосфамидом на протяжении как минимум 6 мес. с тщательным мониторингом состояния больного.
В качестве дополнительных применяются антифиброзные препараты (D-пеницилламин, колхицин, интерферон γ-1b). При развитии гипоксемии рекомендована кислородотерапия, при легочной гипертензии – вазодилататоры. Эффективно применение препаратов, влияющих на функциональную активность эндотелия — простагландинов, антиагрегантов, ингибиторов эндотелина-1, антиоксидантов. При формировании «сотового легкого» единственным методом лечения интерстициальной пневмонии является трансплантация легких.
Прогноз
Исход интерстициальной пневмонии зависит от формы заболевания и выраженности фиброза легких. Выживаемость больных в среднем составляет 5-6 лет, при ИЛФ с развитием пневмосклероза и сердечно-легочной недостаточности продолжительность жизни не превышает 3 лет. Острая интерстициальная пневмония даже при своевременном лечении имеет очень высокие показатели смертности — до 50-70%.
Клиническое улучшение и стабилизация состояния пациента в результате лечения неспецифической интерстициальной пневмонии наступает примерно в 75% случаев; около 35% больных имеют 10-летнюю выживаемость. При десквамативной форме улучшение/стабилизация наблюдаются в 2/3 случаев, а 5- и 10-летняя выживаемость достигает 93 и 69%, возможна полная ремиссия.
Большинство случаев лимфоцитарной интерстициальной и криптогенной организующейся пневмонии имеют благоприятный прогноз. РБ-ИБЛ часто разрешается при прекращении курения, в некоторых случаях имеет место упорное прогрессирование с рецидивами. Больным ИЛФ регулярно проводится вакцинация против гриппа и пневмококковой инфекции.
Интерстициальная пневмония – тяжелое пульмонологическое заболевание, характеризующееся воспалением соединительнотканных перегородок между альвеолами и кровеносными сосудами легких. При поражении интерстиция экссудат скапливается в дыхательном аппарате, нарушается структура альвеолярных стенок и эндотелия легочных капилляров, функциональная ткань органа замещается фиброзными волокнами. Этиология процесса до конца неизвестна. Патология имеет острое или хроническое течение. Она всегда приводит к нарушению дыхательной функции, связанной с изменением газообмена в легких.
Нижний отдел респираторного тракта включает трахею, бронхи, бронхиолы и альвеолы. Пузырьки, составляющие легочную ткань, заполнены воздухом. Перегородки, расположенные между ними, называются интерстицием или межуточной тканью. При воспалении легочной каркас полностью перестраивается,альвеолы поражаются, деформируются и склеиваются, соединительнотканные волокна утолщаются, нарушается процесс оксигенации крови. Постепенно разрастаются фибробласты, прогрессирует отложение коллагена. При отсутствии ранней диагностики и адекватной терапии развивается фиброз легких, который приводит к хронической дыхательной недостаточности.
Начинается интерстициальная пневмония постепенно. Симптомы присутствуют на протяжении многих лет и прогрессируют со временем. Заболевание проявляется сухим или продуктивным кашлем, болезненными ощущениями за грудиной, общим недомоганием, акроцианозом и прочими признаками дыхательной недостаточности. Одышка при нагрузке и в покое – характерный признак патологии. Больные жалуются на потерю аппетита, похудание, бессилие, быструю утомляемость, непереносимость физической активности. Диагностика недуга основывается на результатах рентгенографического и томографического исследования, спирометрических проб, биопсии легочной ткани. Часто установить правильный диагноз удается лишь через 3-5 лет от начала процесса. Лечение заболевания комплексное, включающее гормональные препараты, цитостатики, оксигенотерапию, ИВЛ.
Интерстициальная пневмония регистрируется преимущественно у женщин и мужчин старше 40 лет. У детей и молодых людей патология развивается крайне редко. К заболеванию предрасположены злостные курильщики и лица, страдающие аутоиммунным воспалением соединительной ткани. Интерстициальная пневмония – актуальная проблема современной пульмонологии. Заболевание отличается длительным и тяжелым течением. Оно часто заканчивается пневмофиброзом или пневмосклерозом и имеет неблагоприятный прогноз. У больных снижается качество жизни – они становятся инвалидами.
Этиология
Этиопатогенетические особенности заболевания в настоящее время до конца не изучены. Специалисты до сих пор задаются вопросом, почему воспалительный процесс завершается не заживлением, а образованием соединительнотканных тяжей в легких. Существует несколько теорий происхождения неспецифической интерстициальной пневмонии: аутоиммунная, инфекционная, генетическая, аллергическая, токсическая и некоторые другие.
- Одной из причин болезни является нарушение иммунного гомеостаза – расстройство иммунологической саморегуляции. В организме человека вырабатываются антитела к собственным клеткам, которые воспринимаются как чужеродные. Формируются иммунные комплексы, циркулирующие в крови и вызывающие развитие аутоиммунного воспаления.
- Инфекционная теория болезни связана с проникновением в организм патогенных микробов: вирусов – цитомегаловируса, герпес-вируса; грибков — кандиды, аспергиллы; внутриклеточных микроорганизмов – микоплазмы, хламидии; бактерий – пневмококков, синегнойной или гемофильной палочек. Микробы проникают в организм воздушно-капельным путем и поражают межуточное вещество легочной ткани. В данном случае возбудитель не играет первостепенного значения. Реакция организма идет не по пути классического воспаления. Чаще всего патология развивается из-за неинфекционных причин.
- Курение способствует поражению легочной ткани и развитию респираторного бронхиолита. У курильщиков «со стажем» патология протекает тяжело, часто осложняется и плохо поддается лекарственной терапии.
- Негативные внешние факторы приводят к воспалению интерстициальной ткани — пылевые частицы, аллергены, химические аэрозоли, токсические газы.
Читайте также:
Санаторное лечение после пневмонии для ребенка
Факторы, предрасполагающие и провоцирующие развитие пневмонии:
- Иммунодефицит, обусловленный гормонотерапией или химиотерапией, тяжелыми соматическими заболеваниями,
- Запыленный и загазованный воздух на производстве,
- Негативное воздействие на респираторный тракт бытовых раздражителей,
- Кардиоваскулярные расстройства,
- Врожденные пороки развития органов дыхания,
- Хронические фоновые патологии,
- Длительный прием некоторых медикаментов, предназначенных для борьбы с аритмиями, ревматизмом и прочими недугами,
- Возраст старше 60 лет,
- Наследственная предрасположенность,
- Сахарный диабет,
- Печеночная дисфункция,
- Операции по пересадке органов и тканей,
- Гнойно-бактериальные процессы,
- ВИЧ и СПИД,
- Иммунопатии, коллагенозы.
В основе заболевания лежит иммунное неинфекционное воспаление альвеол — основных структурных единиц легочной ткани. В пораженных альвеолярных стенках и межуточной ткани органа скапливаются иммунокомпетентные клетки. Они выделяют биологически активные вещества, повреждающие структуры легких и фиброгенные факторы, запускающие фибропролиферативные процессы.
Симптоматика
Интерстициальная пневмония может протекать в различных патоморфологических формах, каждая из которых проявляется характерным симптомокомплексом. Существуют общие клинические признаки воспаления легких, которые условно объединяются в следующие синдромы:
- Интоксикационный — лихорадка, озноб, миалгия и артралгия, гипергидроз, цефалгия;
- Респираторный – кашель приступообразный сухой или с выделением вязкой, скудной, гнойной мокроты, одышка различной степени выраженности, затрудненное дыхание, невозможность вдохнуть полной грудью, приступы удушья по ночам;
- Катаральный — насморк, боль и першение в горле, чихание, покашливания;
- Болевой — интенсивная боль в груди, усиливающаяся во время кашля, глубокого вдоха, резкого движения;
- Астенический — слабость, плохое самочувствие, нарушения сна, разбитость, снижение работоспособности, плохой аппетит, похудание;
- Бронхообструктивный — цианоз, свистящее дыхание с хрипами, втяжение межреберных промежутков, горизонтальное расположение ребер, непропорциональная грудная клетка, вынужденное положение больных.
Интерстициальная пневмония у детей отличается длительным рецидивирующим течением. У них возникает сильная интоксикация и тяжелые респираторные проявления. Физикально определяется укорочение перкуторного звука, ослабленное дыхание, диффузные влажные хрипы. Эта коварная болезнь при отсутствии адекватного лечения может привести к развитию опасных для здоровья ребенка осложнений: прогрессирующей бронхообструкции, бронхиальной астмы, бронхоэктазов и пневмофиброза. У взрослых чаще возникает пневмосклероз с карнификацией легкого, стойкая дисфункция органов дыхания, гнойно-септические процессы.
Формы
Воспаление легких бывает очаговым и диффузным, сегментарным, лобарным или тотальным, одно- и двусторонним. При поражении сразу обоих органов развивается двусторонняя интерстициальная пневмония – сложный и опасный недуг с тяжелым течением, возникающий как у взрослых, так и у детей. В первую очередь воспаляются альвеолы и интерстиций, затем все остальные структуры легочной ткани. Это довольно серьезное состояние требует срочного оказания медицинской помощи и проведения адекватной терапии. Двусторонняя пневмония является одной из самых частых причин смерти в мире.
Все формы пневмонии отличаются этиопатогенетическими, клинико-морфологическими, лечебно-диагностическими и прогностическими особенностями.
-
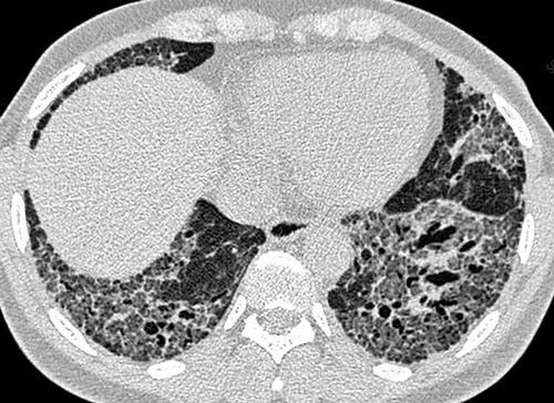
Компьютерная томография: двусторонние области альвеолярного помутнения
Острая интерстициальная пневмония начинается как банальная ОРВИ — с резкого подъема температуры и озноба. Внезапно появляется сильная одышка и приступообразный кашель. Болезнь развивается стремительно и быстро прогрессирует. У пациентов нарастают признаки респираторной недостаточности, отекают стенки альвеол, в них скапливается экссудат, возникает фиброзный процесс. Больным требуется ИВЛ до улучшения общего состояния. В противном случае человек погибает. Это самый опасный вид патологии с высоким процентом летальности.
- Криптогенная форма – частое осложнение гриппа, имеющее относительно благоприятный прогноз. В легочной ткани появляются диффузные грануляции, внутри бронхиол и альвеол скапливается экссудат. Патологические изменения в легких исчезают и через определенный промежуток времени появляются вновь. С помощью антибиотикотерапии и прочих лекарственных средств работа органов дыхания восстанавливается в течение месяца.
-
КТ грудной клетки 42-летнего мужчины, больного ревматоидным артритом, с фиброзом легких (рубцеванием легких), вызванным неспецифической интерстициальной пневмонией
Неспецифическая пневмония протекает медленно. В легочной ткани появляются однородные воспалительные изменения, очаги фиброза, отек альвеолярных стенок, скопление внутри экссудата. Больные в течение нескольких лет мучаются от непроходящего кашля и постоянной одышки, усиливающейся по утрам, после физической нагрузки, подъема по лестнице. Эта форма патологии чаще возникает у пожилых лиц и злостных курильщиков. Неспецифическая пневмония может протекать бессимптомно. Пациенты страдают от общей слабости, упадка сил и прочих признаков астенизации. Клинические проявления со стороны дыхательной системы при этом отсутствуют.
- Десквамативная пневмония – незначительное равномерное воспаление интерстиция легочной паренхимы со скоплением макрофагов в стенках альвеол. Недуг проявляется редкими откашливаниями и одышкой после тяжелых нагрузок. Интоксикация не развивается, общее состояние больных остается удовлетворительным. Заболевание хорошо поддается медикаментозному лечению.
- Лимфоидное воспаление легких – редко встречающаяся форма, поражающая преимущественно организм женщин. У больных возникает одышка, слабость, сонливость, сухой кашель, лихорадка, артралгия, снижение веса, лимфаденит. Интерстиций легких и перибронхиальные фолликулы инфильтрируются лимфоцитами. Полное излечение возможно при условии своевременно начатой терапии.
- Идиопатический легочный фиброз характеризуется нарушением архитектоники органа, рубцеванием функционально активной ткани, образованием в легких инфильтратов и полостей с тонкими стенками. Заболевание отличается медленным нарастанием симптоматики. Начинается оно как банальная простуда. При прогрессировании патологии появляются признаки нарушения дыхательной функции и легочной гипертензии — сильная одышка, интенсивный кашель, боль в груди.
- Респираторный бронхиолит отличается подострым течением, слабовыраженным воспалением и поражением бронхиол.
Читайте также:
Диссертация на тему пневмонии у детей
Легочной фиброз – самая частая форма пневмонии, диагностируемая преимущественно у пожилых мужчин старше 65 лет. Десквамативное воспаление легких развивается у детей. Все остальные формы выявляют у пациенток женского пола 35-55 лет.
Видео: идиопатические интерстициальные пневмонии
Постановка диагноза
Диагностические мероприятия включают сбор жалоб и анамнеза, проведение общего осмотра и физикального обследования, лабораторных анализов и инструментальных исследований.
- При осмотре внимание врачей привлекает бледная кожа с акроцианозом, учащенное и поверхностное дыхание, признаки респираторной недостаточности и бронхообструкции — пальцы кисти как «барабанные палочки», ногтевые пластины как «часовые стекла».
- Пальпаторно выявляется ослабление голосового дрожания – мелкого сотрясения грудной клетки при произношении больным звуков, перкуторно – притупление или укорочение звука в зоне воспаления, аускультативно – жесткое везикулярное дыхание с разнокалиберными хрипами, мягкая крепитация, напоминающая шорох целлофана по всему легочному полю.
- Рентгенографическое и рентгеноскопическое исследования органов грудной клетки – обнаружение утолщенных соединительнотканных перегородок между долями и внутри них, симметричных полупрозрачных затемнений по типу «матового стекла», кистозно-фиброзных изменений, периваскулярной и перибронхиальной инфильтрации.
- Томографическое исследование дает более точные диагностические данные, чем рентгенография, оценивает строение легких и их способность к расправлению, выявляет признаки воспаления межуточной ткани, распространенность поражения, стадию, активность и темпы прогрессирования фиброзного процесса. На снимке видны очаги уплотнения ткани, снижение прозрачности паренхимы легких по типу матового стекла, сегментарные расширения бронхов – бронхоэктазы.
- Спирометрические тесты – измерение жизненной емкости легких, определение вентиляционной и диффузионной способности органа, а также степени дыхательной недостаточности.
- Сцинтиграфический метод с внутривенным введением радиоизотопного препарата позволяет сделать вывод о нарушениях со стороны легочного интерстиция.
- Биопсия легкого – наиболее достоверный метод, позволяющий поставить точный диагноз и определить форму интерстициальной пневмонии. Микроскопическое исследование биоптата, полученного путем прокола грудной стенки и плевры длинной тонкой иглой, проводится в диагностически сложных случаях, когда другие исследования не дают исчерпывающей информации об имеющемся заболевании.
- Эхокардиография — обнаружение признаков гемодинамических нарушений в малом круге кровообращения.
- Гемограмма — показатели воспаления: нейтрофилез, увеличение СОЭ.
- БАК – повышение C-реактивного белка, который также является признаком воспалительного процесса.
- Микробиологическое исследование мокроты на микрофлору с целью выделения и идентификации возбудителя инфекции, определения его чувствительности к антибиотикам.
- Цитологическое и гистологическое исследования – микроскопическое изучение клеточной и тканевой структуры биоптата, обнаружение воспалительных элементов в соединительной ткани.
Диагностический процесс включает разные методы. Постановка диагноза – довольно сложная задача.
Лечебный процесс
Лечение патологии противовоспалительное, иммуносупрессивное. Проводится оно гормональными препаратами — кортикостероидами и химиотерапевтическими средствами — цитостатиками. Для повышения эффективности этиотропной терапии и устранения неприятных проявлений болезни показано симптоматическое лечение.
Основная цель лечебных мероприятий и задача лечащего врача – замедление патологического процесса. Комплекс медикаментозных и физиотерапевтических процедур позволяет улучшить общее состояние пациента и предупредить развитие осложнений.
- Больным назначают высокие дозы «Преднизолона» в сочетании с «Циклоспорином», «Метотрексатом» и тщательным наблюдением за работой внутренних органов. Проводится длительный курс гормонотерапии и химиотерапии – от 3 до 6 месяцев или до года.
- Антибиотикотерапия показана при инфекционной этиологии процесса — пенициллины «Амоксициллин», «Аугментин», цефалоспорины «Цефотаксим», Цефтриаксон», макролиды «Сумамед», «Клацид».
- Пробиотики для поддержания нормальной микрофлоры кишечника – «Линекс», «Бифидумбактерин», «Бифиформ».
- Антифиброзные препараты препятствуют замещению легочной ткани соединительнотканными волокнами – “D-пеницилламин”, “Колхицин”, “Интерферон”.
- Муколитики, разжижающие и выводящие мокроту – «Амброксол», «Флюдитек», «Бронхолитин».
- Бронхолитики, расширяющие просвет бронхов и устраняющие бронхоспазм – «Сальбутамол», «Беродуал», «Пульмикорт».
- Жаропонижающие препараты показаны при лихорадке – «Ибуклин», «Нурофен», «Парацетамол».
- Препараты, влияющие на функциональную активность эндотелия – антиагреганты, ангиопротекторы и антиоксиданты: «Актовегин», «Трентал», «Пентоксифиллин».
- Поливитаминные комплексы, ускоряющие процессы выздоровления и восстановления организма.
Пациенты с острой формой пневмонии нуждаются в поддержании дыхательной функции с помощью оксигенотерапии и ИВЛ. Физиотерапия улучшает общее состояние больного и ускоряет регенерационные процессы. Наиболее эффективными при пневмонии являются следующие процедуры: ингаляции, дециметровая терапия, УВЧ-терапия, дренажный массаж, ЛФК. Кислородотерапия повышает выносливость организма при незначительных физических нагрузках, но никак не влияет на продолжительность жизни. Трансплантационные операции показаны при формировании «сотового легкого».
Прогноз интерстициальной пневмонии неоднозначный. Он зависит от формы заболевания и степени фиброзного поражения легочной ткани. Отказ от курения – обязательное условие при лечении патологии. Если соблюдать все врачебные предписания, наступает длительная ремиссия. При наличии сопутствующих патологий – пневмосклероза, дыхательной недостаточности и кардиоваскулярных расстройств продолжительность жизни редко превышает 3-5 лет. Заболевание отличается тяжелым течением и высокими показателями смертности. В редких случаях удается достичь стойкого клинического выздоровления. Наиболее опасной является острая форма патологии, характеризующаяся стремительным ухудшением дыхательной функции.
Лица, пренебрегающие лечением, должны помнить, что неуклонное прогрессирование пневмонии приводит к развитию опасных осложнений, поражению внутренних органов и пожизненной инвалидизации.
Мероприятия, минимизирующие риск развития интерстициальной пневмонии:
- Борьба с вредными привычками, особенно табакокурением,
- Регулярная вакцинация против гриппа и пневмококковой инфекции,
- Защита организма от влияния негативных провоцирующих факторов,
- Укрепление иммунитета,
- Исключение контактов с инфекционными больными,
- Рациональный режим труда и отдыха,
- Белковое и обогащенное витаминами питание.
Интерстициальная пневмония – опасное воспаление легких, требующее своевременного проведения лечебно-диагностических мероприятий. В противном случае здоровье больных необратимо ухудшается, может наступить летальный исход.
Видео: неспецифическая интерстициальная пневмония
Мнения, советы и обсуждение:












