Невзирая на то, что медицина стремительно шагнула вперед и разработала множество мощных антибактериальных препаратов, пневмония все еще остается одним из наиболее распространенных и смертоносных заболеваний, которое по частоте смертельных исходов занимает третье место после инсультов и онкологических болезней. К сожалению, снизить заболеваемость не удается.
Читайте также:
Сколько раз ребенок может болеть пневмонией
Пневмония — это воспалительный процесс инфекционнного происхождения, который негативно воздействует на нижние дыхательные пути с непременным вовлечением легочных материй.
Разновидности пневмонии:
- Внебольничное воспаление легких является, пожалуй, самым распространенным видом заболевания.
- Госпитальная пневмония. Эта форма заболевания проявляется у человека, который продолжительное время пребывает в стационаре, при условии что во время госпитализации у больного не было ни одного симптома, сведетельствующего о наличии этого недуга.
- Аспирационное воспаление легких — это форма заболевания, которая проявляется в результате попадания в организм болезнетворных бактерий посредством пищи, воды или любых посторонних предметов.
- Атипичное воспаление легких — это, пожалуй, самая тяжелая форма недуга, поскольку она вызвана атипичной микрофлорой (например: хламидиями, микоплазмами и т. д.).
Причины возникновения пневмонии
Стоит учитывать, что пневмония — это недуг бактериального происхождения.
Основными возбудителями недуга являются: стафилококк, пнемококк и гемофильная палочка. В редко встречающихся ситуациях толчком к заболеванию могут стать клебсиеллы, кишечная палочка, но это в случае, если у больного параллельно протекают тяжелые заболевания.
Факторы, которые значительно повышают вероятность заболевания пневмонией:
- Поражение внутренних органов, особенно почек, сердца и легких.
- Сниженный уровень защитного барьера организма.
- Наличие онкологических заболеваний.
- Предварительное осуществление исскусственной вентиляции легких.
- Поражение работы центральной нервной системы.
- Возраст, превышающий 60 лет.
- Воздействие общего наркоза на организм.
Симптомы воспаления легких
Как проявляется пневмония у взрослых? Основными проявлениями пневмонии выступают:
- Стремительно поднимающийся и удерживающийся жар до 39 градусов.
- Обильный кашель с отхождением мокрот в больших количествах.
- Одышка в состоянии покоя или при незначительных физических нагрузках.
- Болезненные ощущения или чувство дискомфорта в области груди.
В большинстве случаев больные отмечают значительное снижение работоспособности, слабость, утомляемость, обильное потоотделение, проблемы со сном и отсутствие аппетита. У пациентов пожилого возраста также может наблюдаться общая интоксикация организма. Стоит отметить, что есть категория людей, у которых протекает пневмония без симптомов или же со слабо выраженными — сухой кашель, периодические головные боли и слабость.
Читайте также:
Антибиотик от пневмонии 5 таблеток
Как проявляется пневмония у детей? Чаще всего пневмония у детей развивается крайне стремительно, и причиной ее становятся осложнения после перенесенного ОРЗ. Наиболее распространенный возраст — от полугода до 6 лет. В подавляющем большинстве пневмонию у детей провоцирует пневмококк. Если вы начинаете подозревать, что ваш ребенок заболел, то следует незамедлительно обратиться за консультацией к врачу. Лечение, как правило, осуществляется в стационаре. Пневмония без симптомов у детей фактически не встречается.
Эта болезнь стремительно прогрессирует, поэтому халатности и ненадлежащего лечения не потерпит. Бездействие может привести к летальному исходу!
Общий анализ крови при пневмонии: правила сдачи
Во избежание существенных погрешностей при исследовании ваших общих анализов, следует основательно подготовиться к их сдаче и выполнить все нижеперечисленные правила:
- Сдача крови должна осуществляться строго на голодный желудок и в первой половине дня. Можно лишь употреблять вовнутрь очищенную воду без газов.
- Вечерняя трапеза должна быть окончена как минимум за 8 часов до предполагаемого времени сдачи крови.
- За пару дней до сдачи анализов следует воздержаться от применения каких-либо лекарственных средств, поскольку им под силу существенно изменить состав крови.
- За сутки необходимо воздержаться от жирной пищи, алкоголя и не допускать физических нагрузок.
Какие анализы при пневмонии необходимо сдать
Пневмония — это крайне смертоносное заболевание, нуждающееся в своевременном выявлении и соответсвующих исследованиях. Диагностика должна в себя включать следующие составляющие:
- Биохимический состав крови.
- Общий анализ мочи.
- Общий анализ мокрот.
- Флюорография.
При пневмонии анализ крови — это самая обязательная составляющая диагностирования. Редко, но встречаются случаи, когда результаты анализов крови в норме, но при этом воспалительные процессы все равно будут проявляться. Это свидетельствует о том, что иммунная система больного ослабла настолько, что не в состоянии воздействовать на протекающий недуг.
Изменения показателей анализов в результате воздействия заболевания
При пневмонии анализ крови у взрослого человека должен показывать довольно высокий уровень лейкоцитов, но это при условии, что иммунная система еще в силах оказывать сопротивление болезни. Показатель СОЭ должен достигать критических отметок. Если в организме продолжительное время происходит интоксикация, то возможно развитие анемии. Нормальное течение пневмонии не способно проявиться в анализах. Лишь в случае, когда приближается кризис, может стремительно возрасти показатель эозинофилов.
В том случае, если при пневмонии анализ крови не проявляет лейкоцитоз, то это плохой звоночек для взрослых.
Анализ крови при пневмонии у ребенка:
- Показатель эритроцитов находится в норме или незначительно понижен. Запущенная форма заболевания, наоборот, провоцирует стремительное повышение количества эритроцитов в организме.
- При пневмонии анализ крови у ребенка указывает на повышенное количество лейкоцитов, что говорит о наличии бактериального недуга.
- Стремительно возрастает количество разнообразных форм палочкоядерных нейтрофилов.
- Анализ крови при пневмонии у ребенка показывает, что заболевание приводит к стремительному уменьшению уровня лимфоцитов.
- СОЭ в разы превышает необходимую норму.
Пневмония: диагностика и лечение
Курс лечения легкой формы пневмонии могут назначать врачи, имеющие широкий профиль: терапевты, педиатры, семейные врачи. Что касается тяжелой формы заболевания, то тут необходима госпитализация в специализированное отделение — пульмонологическое.
Основа лечения воспаления легких — антибактериальные препараты (антибиотики). Препарат, дозировка и длительность приема должны в обязательном порядке определяться врачом, в зависимости от множества факторов: возраст пациента, особенности протекания недуга и наличие дополнительных заболеваний. В большинстве случаев лечение проходит комплексно, с применением нескольких антибактериальных препаратов.
Средняя продолжительность курса лечения составляет 10 дней.
Профилактика пневмонии
Полностью исключить вероятность заболевания невозможно, но можно приложить максимум усилий, чтобы обезопасить себя и своих близких. Прежде всего, нужно стараться жить в соответствии со здоровым образом жизни: придерживаться правильного питания, закаляться, заниматься спортом, много времени проводить на свежем воздухе, избегать стрессовых ситуаций и придерживаться всех правил личной гигиены. Необходимо употреблять в пищу растительную еду или же БАДы, чтобы работа иммунной системы не давала сбои. Лежачим больным рекомендуется регулярно проделывать курсы массажа и делать специально разработанную дыхательную и лечебную гимнастику, а также целесообразным может быть назначение антиагрегантов (например, «Трентала», «Гепарина» и т. д.).
Относитесь крайне щепетильно и внимательно к состоянию здоровья, ведь своевременное диагностирование и лечение недугов может значительно увеличить продолжительность жизни человека!
Пневмония – это острое заболевание с вовлечением респираторных отделов лёгкого, которое возникает самостоятельно или как осложнение основного недуга. Воспаление лёгких вызывают бактерии, вирусы, грибы. Анализы при пневмонии позволяют определить тяжесть и этиологию течения заболевания.
Пневмония
Показания к обследованию
Скрининг на предмет пневмонии назначается при определённых условиях. Диагностическими критериями развития воспаления лёгких являются:
- данные анамнеза;
- результаты клинического обследования: лихорадка (повышение температуры не всегда может указывать на тяжесть заболевания), проявления интоксикации, кашель, дыхательная недостаточность;
- выслушивание при помощи стетофонендоскопа: слышны крепитация и разнокалиберные хрипы;
- при перкуссии (выстукивании) лёгочных полей наблюдается притупление перкуторного звука;
- метаболический или смешанный ацидоз (ставится в результате интерпретации исследования на кислотно-основное состояние).
Читайте также:
Дыхание у ребенка после пневмонии
Для подтверждения диагноза используется рентгенологическое исследование органов грудной клетки (обнаруживаются очаговые инфильтраты). Лабораторные исследования помогают определить тяжесть течения болезни и результативность антибактериальной терапии, но не являются ведущими при постановке диагноза.
Разновидности анализов
При подозрении на пневмонию существует определённый план обследования, который состоит из:
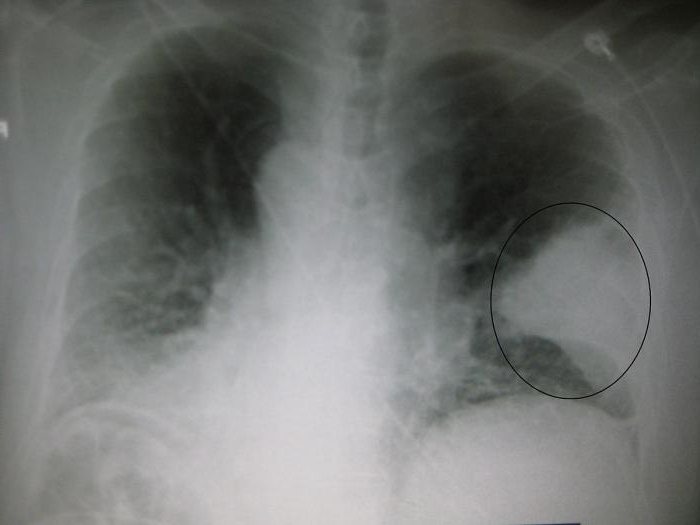
Рентген легких
- рентгенологического исследования в двух проекциях (для определённых видов возбудителей характерна своя картина на снимке);
- общего анализа крови;
- общего анализа мочи;
- биохимического анализа крови, на котором особое внимание уделяется показателям острофазной реакции;
- вирусологического и бактериологического исследований;
- бактериоскопии.
У детей грудного возраста и новорождённых внимание следует обратить на результаты исследования протромбинового индекса, кислотно-основного состояния и электролитов. Взрослые пациенты нуждаются в определении этих показателей только при тяжёлом, затяжном течении заболевания или развитии осложнений. Данные анализы – одни из основных в условиях реанимационного отделения.
Какие показатели свидетельствуют о пневмонии
В общем анализе крови при пневмонии обнаруживаются:
Лейкоцитоз
- лейкоцитоз (в случае вирусной этиологии пневмонии уровень лейкоцитов может быть нормальным или сниженным);
- сдвиг лейкоцитарной формулы влево (обозначает увеличение количества молодых форм нейтрофилов);
- скорость оседания эритроцитов выше нормальных значений (15 мм/ч для женщин и 10 мм/ч для мужчин);
- относительный лимфоцитоз указывает на патогенную микрофлору, ставшую причиной пневмонии.
При расшифровке следует учитывать, что повышение количества лимфоцитов является нормой для детей 4-5 лет до периода физиологического перекрёста лейкоцитарной формулы. По тому, насколько повышены эти показатели, можно судить о тяжести протекания патологического процесса.
У людей пожилого возраста лейкоцитарная формула может не отражать тяжести состояния из-за снижения реактивности организма. При микоплазменной пневмонии лейкопения сочетается с высоким показателем СОЭ. Относительное содержание гранулоцитов (базофилов и эозинофилов) и агранулоцитов (моноцитов) снижается (если воспаление имеет неаллергическую или паразитарную природу). 90% случаев пневмонии имеют бактериальную этиологию.
У ребёнка подобные изменения крови могут быть следствием прививки и прорезывания зубов. У грудничков встречается реакция на смену питания (при вводе первого прикорма).
В биохимическом исследовании крови следует обратить внимание на острофазовые показатели (С-реактивный белок, фибриноген, серомукоид, церулоплазмин). В этом анализе можно отслеживать состояние не только легких, но и других органов человеческого тела.
При исследовании кислотно-основного состояния важны показатели pH, стандартных бикарбонатов и буферных оснований. Они напрямую будут зависеть от тяжести состояния пациента при воспалении лёгких.
За общим анализом мочи требуется тщательное наблюдение, ведь он помогает следить за состоянием почек. Может возникать альбуминурия, а в некоторых случаях – эритроцитурия и цилиндрурия. Снижается выделение хлоридов почками.
В тяжёлом состоянии больного анализы необходимо брать в любое время суток, но для лучшей их интерпретации стоит сдать утром на голодный желудок.
У пожилых людей наблюдаются проблемы с интерпретацией анализов и клинической картины из-за их стёртости.
Лабораторные критерии тяжёлой внебольничной пневмонии:
- общий анализ крови: анемия (уровень гемоглобина ниже 90 г/л), тромбоцитопения (меньше 150х109/л), снижение гематокрита ниже 30%;
- биохимический анализ крови: уровень мочевины крови выше 10 ммоль/л, глюкоза выше 14 ммоль/л;
- исследование кислотно-основного состояния: гипоксемия (индекс оксигенации меньше 250 мм рт. ст.), ацидоз (pH меньше 7,35);
- исследование уровня электролитов (уровень натрия меньше 130 ммоль/л).
Если состояние пациента не улучшилось после назначенной терапии, и на рентгенограмме есть очаги нетипичной для внебольничной пневмонии локализации, то можно заподозрить атипичную пневмонию.
Исследование мокроты
Встречается малосимптомный (скрытый) тип воспаления лёгких, когда на фоне лечения острой респираторной инфекции у пациента остаются симптомы интоксикации. В таком случае рентгенологическое исследование может подтвердить развитие пневмонии. При подозрении на атипичное течение воспаления лёгких и при большом риске развития осложнений используются сложные иммунологические, серологические и вирусологические методы.
Исследование мокроты помогает выявить этиологию воспалительного процесса. При большом количестве эозинофилов пневмония имеет аллергическую или паразитарную природу, при туберкулёзе – в мокроте обнаруживаются микобактерии туберкулёза, а при микозных поражениях – мицеллы грибов и отсутствие гноеродной флоры.
При бактериоскопии проводится окраска мазка бронхиального секрета по Граму для определения превалирующей флоры (грамположительной или грамотрицательной), что помогает в выборе терапии пневмонии.
У маленьких детей мокрота не исследуется, так как они не умеют её откашливать.
В условиях затяжного течения воспаления лёгких либо развития тяжёлых осложнений исследуется иммунологическая реактивность организма. Если в результате анализов выявляются нарушения, то требуется иммуномодулирующая терапия.
Если при проведении лабораторных исследований найдены изменения воспалительного характера, следует обратиться к врачу с целью исключения развития пневмонии и назначения правильного лечения. Течение болезни у подростка и взрослого человека не отличается.
В качестве профилактики заболеваний каждому раз в год нужно проходить обследование и сдавать анализы. Расшифровку результатов должен проводить специалист, не следует выставлять диагноз себе самостоятельно.






