Энциклопедия / Заболевания / Легкие и бронхи / Пневмония у взрослых
Автор статьи — Чуклина Ольга Петровна, врач общей практики, терапевт. Стаж работы с 2003 года.
Пневмонией называют острое инфекционное заболевание, для которого характерно развитие воспаления легочной ткани, обязательно в процесс вовлекаются альвеолы
Выделяют следующие возможные причины заболевания:
- бактерии;
- вирусы;
- грибки.
Среди бактерий ведущая роль принадлежит Стрептококку pneumonia (пневмококк), редко вызывают пневмонию микоплазма, легионелла, хламидия, клебсиелла.
Привести к развитию пневмонии может вирус гриппа, в том числе вирус типа А (H1N1), аденовирус, риновирус.
Грибковую пневмонию вызывает грибок рода Кандида.
Заражение происходит воздушно-капельным путем (при чихании, кашле) от больного человека, либо инфекция в легочную ткань может попасть из очагов хронической инфекции (хронические синуситы, тонзиллиты, кариес зубов).
Факторами, способствующими развитию заболевания, являются:
- переохлаждение организма;
- хронические заболевания легких (бронхит);
- снижение иммунитета;
- возраст больного старше 65 лет;
- табакокурение;
- злоупотребление алкоголем;
- вдыхание вредных веществ на производствах;
- наличие хронических заболеваний (сердечнососудистой системы, сахарный диабет, болезни почек);
- нахождение больного на аппарате искусственной вентиляции легких.
Пневмония может быть:
- первичной – пневмония является самостоятельным заболеванием;
- вторичной – пневмония развивается на фоне сопутствующего заболевания (застойная);
- аспирационной – развивается при занесении бактерий в бронхи с рвотными массами, инородными телами;
- послеоперационной;
- посттравматической – в результате травмы легкого.
По этиологи
- типичная – вызванная типичными возбудителями (пневмококк, вирус);
- атипичная – вызванная нетипичными возбудителями (хламидии, микоплазмы, легионеллы, клебсиеллы).
По морфологическим признакам:
- очаговая – поражается небольшой участок легкого;
- крупозная – поражаются доли легкого, может быть односторонней и двусторонней.
По происхождению:
- внебольничные – развиваются вне стационара;
- внутрибольничные – развиваются через 2 или более дней после поступления больного в стационар.
Внутрибольничные пневмонии отличаются более тяжелым течением.
Клиническая картина воспаления легких во многом зависит от типа возбудителя, от состояния здоровья человека, наличия сопутствующих заболеваний, иммунодефицита.
В большинстве случаев пневмония имеет очаговую форму и характеризуется следующими симптомами:
- острое начало;
- температура тела повышается до фебрильных цифр (38,5 – 40 градусов);
- общая слабость;
- боль в груди при глубоком вдохе и кашле;
- повышенное потоотделение;
- быстрая утомляемость;
- кашель в начале заболевания сухой, позже становится продуктивным (влажным);
- одышка.
Для пневмонии характерны и местные признаки – при аускультации слышно либо ослабление дыхание, либо мелкопузырчатые, крепитирующие хрипы.
При небольших очаговых пневмониях может не быть изменений при аускультации легких.
Температура при пневмонии держится в течение трех-четырех дней, при условии своевременно начатого лечения.
Признаки крупозной пневмонии
Крупозная пневмония отличается выраженным интоксикационным синдромом, температура резко повышается до 39 – 40 градусов, развивается тахикардия (увеличивается частота сердечных сокращений).
Чаще всего при крупозной пневмонии возникает сильная одышка, учащается частота дыханий, рано появляется влажный кашель.
Важно! Особенностью влажного кашля при крупозной пневмонии является наличие «ржавой мокроты» (в мокроте присутствуют прожилки крови).
Бессимптомная пневмония
Возможно и бессимптомное течение пневмонии, это может быть при небольших очаговых пневмониях, при снижении иммунитета.
У больного нет характерных признаков заболевания – кашля, повышения температуры. Может быть только общая слабость, повышенная утомляемость.
Обнаруживают такую пневмонию случайно при проведении флюорографического обследования.
Особенности вирусной пневмонии
Для вирусной пневмонии характерно то, что у больного в начале присутствуют признаки респираторного заболевания. А через одни или двое суток появляется симптоматика пневмонии — кашель с прожилками крови, повышается температура, возникает одышка.
Диагностика воспаления легких основывается на наличии характерной клинической картины заболевания, данных осмотра и характерных изменениях при обследовании больного.
При осмотре можно выявить:
- при аускультации – ослабление дыхания, наличие мелкопузырчатых влажных хрипов, крепитации.
- может быть отставание грудной клетки при вдохе на стороне поражения;
- при развитии дыхательной недостаточности – учащение дыхательных движений, втяжение межреберных промежутков при вдохе, акроцианоз.
Проводятся лабораторные и инструментальные обследования:
Общий анализ крови. В нем обнаруживается лейкоцитоз, ускоренное СОЭ.
Общий анализ мокроты. Характерно наличие признаков воспаления (лейкоциты), крови, выявление возбудителя.
Бак.посев мокроты – для определения возбудителя и определения его чувствительности к антибиотикам.
Биохимический анализ крови. Наблюдается повышение АЛТ, АСТ, С-реактивного белка.
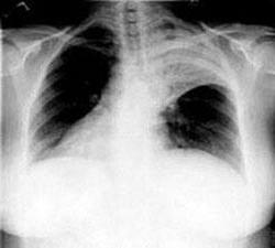
Рентгеногрфия грудной клетки в двух проекциях (прямой и боковой). При пневмониях видны очаговые затемнения, либо долевые.
При необходимости проводится компьютерная или магнитно-резонансная томография легких.
Для определения степени дыхательной недостаточности проводится пульсоксиметрия (определяют насыщение крови кислородом, это неинвазивный метод).
С чем можно спутать пневмонию
Дифференциальная диагностика пневмонии проводится с:
- опухолевыми образованиями – отсутствует температура, либо она субфебрильная, нет острого начала, отсутствие эффекта от антибиотиков;
- туберкулезом легких – также начало не острое, нет гипертермии, характерная рентгенологическая картина, отсутствие положительного эффекта при терапии.
Одни и те же симптомы могут быть признаками разных заболеваний, а болезнь может протекать не по учебнику. Не пытайтесь лечиться сами — посоветуйтесь с врачом.
Важно! Данный раздел написан в соответствии с Федеральным стандартом первичной медико-санитарной помощи при пневмонии
Лечение не тяжелых форм пневмонии может осуществляться амбулаторно, тяжелая пневмония подлежит госпитализации в стационар.
Существуют общие рекомендации:
- соблюдение постельного режима;
- регулярное проветривание помещения;
- обильный питьевой режим (способствует снятию интоксикации);
- увлажнение вдыхаемого воздуха;
- пища должна быть легкоусвояемой.
Основным лечением является применение антибактериальных препаратов.
Какие антибиотики показаны при воспалении легких
Читайте также:
Пневмония в стадии разрешения это
Не тяжелые пневмонии начинают лечить с защищенных пенициллинов:
Если у больного имеется непереносимость данной группы или противопоказания, недавнее применение препаратов данной группы, больному назначают макролиды:
Также макролиды назначаются при атипичных пневмониях.
Препаратами третьего ряда являются респираторные фторхинолоны, цефалоспорины.
К респираторным фторхинолонам относятся:
К цефалоспоринам относятся:
При легком течении курс антибактериальной терапии от 7 до 10 дней.
Эффективность антибактериальной терапии оценивается через 48-72 часа от начала терапии, если нет признаков улучшения состояния (снижение интоксикации, температуры тела, снятие одышки), то производят смену антибиотика.
Тяжелые пневмонии начинают лечить в условиях стационара инъекционными формами антибактериальных препаратов, также возможно назначение сразу двух препаратов из разных групп.
При тяжелых формах пневмонии курс антибактериальной терапии составляет не менее 10 дней.
В случае атипичных пневмоний лечение проводится от 14 до 21 дня.
Помимо антибактериальной терапии назначается и жаропонижающая терапия. Жаропонижающие назначаются при повышении температуры от 38,5 градусов:
Для разжижения мокроты применяются муколитики:
Эффективны ингаляции через небулайзер:
- раствора натрия хлорида 0,9%;
- водного раствора Лазолвана;
- при наличии одышки – Беродуала.
Важно! Сиропы от кашля не подходят для использования в небулайзере. Для этого подходят водные растворы для ингаляций на водной основе.
Из физиолечения возможно проведение:
- электрофореза на грудную клетку;
- УФО грудной клетки;
- магнитотерапия;
- вибрационный массаж грудной клетки.
После выздоровления человек подлежит диспансерному наблюдению в течение одного года.
В случае неправильно подобранного или несвоевременного лечения пневмония может давать серьезные осложнения.
- Развитие острой дыхательной недостаточности.
- Плеврит – воспаление оболочки легких.
- Абсцесс легкого – формирование полости заполненной гнойным содержимым.
- Отек легких.
- Сепсис – распространение инфекции по всему организму по кровеносным сосудам.
Существует специфическая профилактика пневмококковых инфекций – пневмококковая вакцина.
Она применяется у детей младшего возраста и больных из группы риска. Формируется иммунитет на пять лет, затем нужно проводить ревакцинацию.
Существуют также и общие рекомендации:
- Избегать переохлаждений.
- Отказ от вредных привычек.
- Лечение хронических заболеваний.
- Ведение здорового образа жизни.
- Закаливание организма и регулярные физические нагрузки.
Источник: diagnos.ru
Редактор
Наталья Лебедева
Врач-пульмонолог
Пневмония – это общее название для достаточно обширной группы заболеваний, объединенных общей клинической картиной и схожей схемой лечения.
Причин возникновения заболевания множество – от психосоматики и внутреннего ожога легких до попадания частичек пищи в легкие. Большинство причин все же имеют инфекционную природу. В этой статье подробно рассмотрим этиологию заболевания. О патогенезе в другой статье.
Причины, из-за которых может быть воспаление легких
Появляется пневмония по многим причинам, в основном они связаны с поражением легочной ткани различными раздражителями и микроорганизмами, именно они и создают благоприятные факторы для развития воспалительного процесса.
Итак, провокаторами пневмонии являются:
- тяжелые простудные заболевания, плохо пролеченные ОРЗ, ОРВИ, грипп, бронхит и другие патологии;
- воздействие особого типа бактерий и грибков, например, микоплазм, хламидий, легионелл;
- присоединение инфекции вследствие химического ожога легких из-за вдыхания ядовитых паров;
- воздействие радиации, повредившей легкие;
- присоединение инфекции после сильного аллергического приступа, например, осложнение после длительного аллергического кашля при бронхиальной астме;
- сильное переохлаждение или перегрев легких.
Бактерии, вирусы и грибок
Самой частой причиной, по которой возникает пневмонии является заражение бактериями, вирусами или грибком.
Самыми распространенными микроорганизмами, вызывающими воспаление легких, являются:
- стрептококк (высокая вероятность тяжелых осложнений вплоть до летального исхода);
- микоплазма (чаще всего является причиной пневмонии у маленьких детей);
- хламидии (для молодых людей является основным возбудителем заболевания);
- легионеллы;
- гемофильная палочка;
- энтеробактерии;
- стафилококк;
- другие.
Проникая в поврежденные легкие, микроорганизмы еще больше повреждают легочную ткань, в некоторых случаях вызывая тяжелейшую симптоматику в виде кашля с гнойной мокротой и кровью.
Больничная инфекция
Пневмония условно делится также на больничную и внебольничную. При нахождении в стационаре, особенно в инфекционном отделении, человек с ослабленным иммунитетом, например, после перенесенной операции, лучевой терапии, может получить воспаление легких. Концентрация микроорганизмов в воздухе очень высока, а постельный режим способствует застоям жидкости и крови в легких, из-за чего происходит присоединение инфекции.
Такая пневмония крайне тяжело лечится, так как возбудители, как правило, устойчивы к антибиотикам.
После ветрянки и кори
Причиной развития пневмонии могут также быть перенесенные детьми ветрянка и корь.
Переболевший этими инфекциями в детстве родитель или ухаживающий за малышом взрослый повторно не заболевает, но его иммунитет ослабляется, и вирусы могут спровоцировать развитие такого тяжелого заболевания, как пневмония.
При наличии в семье детей, переболевших данными заболеваниями, и появления у взрослого симптомов пневмонии, необходимо обязательно сообщить врачу о сложившейся эпидемиологической ситуации. Это облегчит диагностику, позволит быстрее выявить возбудителя и назначить правильное лечение.
Очень тяжело протекает пневмония, осложненная ветряной оспой у взрослых, впервые заболевших именно в возрасте старше 18 лет. Течение заболевания в этом случае очень острое, так как вирус герпеса ведет себя довольно агрессивно. Он вызывает характерную сыпь, поражение слизистой, проникает в легкие и вызывает воспаление.
Лечение заболевания в этом случае очень осложнено, так как одновременно нужно лечить герпес и присоединившуюся бактериальную инфекцию.
Важно! Если ветряной оспой заболел взрослый человек с “букетом” симптоматики пневмонии, следует незамедлительно обратиться в инфекционное отделение стационара. Лечение в домашних условиях приводит к непоправимым осложнениям и инвалидизации.
Читайте также:
Можно ли делать спиртовой компресс при пневмонии
Неинфекционные поводы
Неинфекционными считаются два типа пневмонии:
- аспирационная пневмония – причиной возникновения заболевания является вдыхание инородных тел (жидкости или крошек пищи), вследствие чего повреждается легочная ткань и может развиться;
- инфаркт-пневмония – возникающая из-за попадания в легкие тромба, возникшего в сосудах.
Оба типа заболевания не представляют опасности для окружающих, диагностируются только с помощью рентгена и требуют особого лечения.
Факторы риска
Основными факторами риска возникновения воспаления легких для взрослого человека являются следующие заболевания:
- хронический бронхит;
- онкология;
- алкоголизм;
- тяжелое течение сердечно-сосудистых заболеваний;
- диабет, как первого, так и второго типа;
- длительный постельный режим;
- врожденные или приобретенные хронические заболевания легких;
- лучевая терапия;
- длительное курение.
При работе в тяжелых условиях, где есть постоянное химическое воздействие на легкие, процент переболевших пневмонией также достаточно высок.
Также стоит упомянуть про переохлаждения. Даже при относительно теплой погоде, находясь во влажной одежде (или вспотев), можно переохладиться. Также после бани или плавания, если на сухо не обтереться и попасть под сквозняк, можно простудиться или “заработать” воспаление легких. При этом само по себе плавание в бассейне не может спровоцировать пневмонию.
Психосоматика
Психосоматика – одна из причин, откуда берется пневмония. Заработать легочные заболевания можно переживая стресс, проблемы в семье, например такие как развод или смерть близкого человека. Острый невроз, связанный с переутомлением и недосыпом, нехваткой витаминов также может привести к развитию тяжелого легочного заболевания.
Распознать первопричину воспаления легких в этом случае может быть достаточно сложно, а стандартная терапия антибиотиками может не приносить должных результатов, так как пациенту требуется работа с психологом и восстановительная терапия, направленная на укрепление нервной системы (изменение диеты, нормализация режима сна, фитотерапия, медитации, курортное лечение).
Инкубационный период
Инкубационный период у воспаления легких длится от одного до шести дней (чаще всего три дня), и зависит от возраста пациента, состояния иммунитета, сопутствующих заболеваний и того, каким именно микроорганизмом заразился больной. Как правило, характеризуется этот период небольшим повышением температуры, общей слабостью и недомоганием. Очень редко инкубационный период может протекать бессимптомно.
Иногда бывает, что у пожилых людей данный период затягивается, что приводит к несвоевременному лечению и развитию осложнений. Поэтому даже при малейших признаках воспаления (кашле, небольшой температуре, слабости, головокружениях) необходимо обратиться к врачу и сдать анализы.
Насколько заразна и как передается?
Заразность пневмонии зависит от того, что стало ее причиной. Если воспаление легких вызвали микроорганизмы, например, стрептококк или легионеллы, то человек для окружающих представляет определенную опасность, так как при кашле или чихании возбудитель заболевания попадает воздушно-капельным путем к другим людям.
При этом вовсе не обязательно, что окружающие также заболеют именно пневмонией, все зависит от их уровня иммунитета и факторов риска, поэтому заразившийся человек может заболеть, например, бронхитом или острым респираторным заболеванием.
При частом нахождении в местах скопления людей в период эпидемии увеличивается вероятность заболеть быстро, симптомы могут развиться буквально за ночь.
Справка. Аспирационная пневмония и та, что вызвана химическим или термическим ожогом легких, для окружающих не опасна. Подробнее о рисках заразиться пневмонией >>
Полезное видео
Подробно о том, откуда берется пневмония и как происходит заражение:
Справочные материалы (скачать)
Выберите раздел с нужными материалами по пневмонии:
- Клинические рекомендации, протоколы, методики, алгоритмы, стандарты, приказы МЗРФ, учебные пособия
- Свежие статьи и исследования из научно-практических журналов
- Истории болезней
Заключение
Таким образом, на вопрос, почему возникает пневмония, самый частый ответ – из-за вируса, бактерии или грибка. Отдельно стоят неинфекционные причины заболевания – аспирационная и инфаркт-пневмония, а самой необычной и редкой причиной возникновения заболевания является психосоматика.
Несмотря на этиологию пневмонии лечебную терапию следует начинать незамедлительно. Чтобы минимизировать риски осложнений, в обязательном порядке, проводится дифференциальная диагностика с определением причины, повлекшей воспалительный процесс в легочной ткани.
Пневмония – острое воспаление нижних дыхательных путей, вызванное инфекцией. В процессе болезни зачастую поражается и легочная ткань. В нашей стране, согласно официальной статистике, ежегодно пневмонией заболевают более миллиона человек. И как бы ни прогрессировала сегодня медицина, смертность от пневмонии по-прежнему находится в пределах пяти процентов.
Видовые особенности пневмонии
Для того чтобы однозначно ответить на вопрос о том, как можно заболеть пневмонией, нужно понимать, что это заболевание, в зависимости от различных факторов, подразделяется на виды.
Первый вид — так называемая застойная пневмония. Она возникает вследствие кровяного застоя в легких, верхней их части, или бронхах. Считается заболеванием, сопровождающим осложнения, поэтому этот вид пневмонии незаразен.
Второй вид – очаговая. Это остро проходящая болезнь, зона очагов которой расположена в одном, реже нескольких местах легких. Врачи разделяют двустороннюю, лево- или правостороннюю очаговую пневмонию. Этот вид особо опасен. Во-первых, он однозначно заразен. Во-вторых, болезнь протекает, не проявляя себя ни внешне, ни внутренне.
Третий вид – пневмония внебольничная (атипичная). Иногда ее называют вирусной. Возникает из-за поражения тканей легких инфекционно-бактериальным путем. Возбудителями являются множественные вирусы, хламидии, сальмонеллы, легионеллы, микоплазмы и прочие атипические виды возбудителей.
Читайте также:
Кашель после пневмонии не проходит что делать
Опасен ли этот вид пневмонии? Да. Но у зараженного начинается совершенно другое воспалительное заболевание, вызванное оказавшимся в дыхательных путях возбудителем.
Четвертый вид – пневмония прикорневая. Острая инфекционно-воспалительная болезнь, которая сложно диагностируется. Как заболевают пневмонией этого вида? Воздушно-капельным способом. Подхватить прикорневой вид достаточно легко, особенно деткам.
Пятый вид — пневмония хроническая. Совершенно естественная форма запущенной болезни. Обычая острая форма без воздействия на нее лекарственных средств переходит в хроническую. Крайне заразна.
Шестой вид – бронхиальная пневмония. Болезнь начинается с попадания в дыхательные пути бактерий и специфических вирусов. Отличается от атипичного вида пневмонии локализацией очагов воспалительного процесса. Поражаются только альвеолы бронхов. Как заболевают пневмонией этого типа? Проще простого: воздушно-капельным путем. Просто вдохнув воздух, зараженный специфическими вирусами или бактериями. Но заболевание развивается не всегда.
Седьмой вид – казеозная пневмония. Заслуженно считается самым опасным и серьезным видом туберкулеза. Начальная стадия заболевания очень скоротечная. Затем начинаются осложнения. Этот вид очень опасен для окружающих.
Восьмой вид – пневмония больничная. Не менее опасна, чем предыдущий вид. Немалая часть возбудителей этого заболевания выработала устойчивость к большинству медикаментозных средств. Поэтому процесс излечения сложный и затяжной. Этот вид тоже очень опасен. Легче всего «подцепить» его в пульмонологическом или терапевтическом отделениях клинических больниц или в поликлиниках. Вот как можно заболеть тяжелой пневмонией.
Как долго длится заразный период
До сих пор этот вопрос медики считают спорным. Однозначного ответа на вопрос о том, за какое время можно заболеть пневмонией, нет. Есть некая зависимость от подвида заболевания, возраста больного и других причин.
Если усредненно, то у взрослого человека инкубационный период может длиться от нескольких дней до недели. У детей до месяца и грудничков этот период может протекать несколько недель.
Обязательно нужно учесть, что отсутствие симптомов болезни не означает, что пациент незаразен. Пока возбудители продолжают свое развитие в организме человека, он считается потенциально опасным.
Как заболевают пневмонией
Такие симптомы заболевания, как кашель и чихание, несут в себе большое количество микробов и вирусов, потенциально опасных для окружающих. Здоровому человеку достаточно одного вдоха, чтобы получить необходимую для заболевания дозу. В течение следующих 4-6 дней уже больной человек не ощущает никаких изменений. Иногда фиксируется незначительное увеличение температуры тела. Этот путь, называемый воздушно-капельным, самый распространенный.
Существует бытовой способ распространения данной патологии. Как заболевают пневмонией в этом случае? Больной человек, чихая и кашляя, распространяет в воздушную смесь вирусы и бактерии, которые «ложатся» на предметы одежды, мебели и пр. В таких условиях бактерии будут жизненно активны около четырех часов. Поэтому стоит взяться за что-либо «зараженное» и прикоснуться к слизистой глаза, носа — и можно считать, что болезнь начала свое развитие.
Предполагаемая группа риска
Любой заразный вид пневмонии будет вероятно опасен для:
— людей с заниженным уровнем иммунитета;
— женщин в положении;
— детей;
— людей, имеющих зависимость наркотическую или алкогольную;
— пациентов, которые проходят гормональную терапию;
— людей, находящихся в депрессии или физическом истощении;
— только переболевших простудными заболеваниями, в том числе ОРВИ или ОРЗ;
— пациентов, имеющих хронические болезни: различные виды недостаточностей, диабет и пр.
Переносимость заболевания
Вирусы и бактерии, вызывающие пневмонию, настолько сильны, что даже здоровому человеку с ними справиться трудно. Современные дети подвержены постоянному риску. При неблагополучной экологической обстановке дети, особенно детсадовского возраста, имеют ослабленный иммунитет, что, несомненно, дает пневмонии фору.
Дам в положении врачи предупреждают об этой угрозе с первых дней беременности. И настоятельно рекомендуют не пренебрегать даже малейшими подозрениями на пневмонию. Тут же нужно обращаться к врачу. Пневмония для беременных опасна не только рождением больного малыша и осложнениями родового процесса.
Признаки, дающие повод пойти к врачу
Как узнать, если заболел пневмонией? Достаточно прислушаться к себе. Сначала появляется беспричинная слабость и значительно снижается работоспособность. Затем может начаться лихорадка, с температурой близкой к 400С. Спустя сутки может возникнуть кашель с обилием мокроты. Он спровоцирует одышку (даже в покое), жжение или боль в груди.
Практически у всех отмечается бессонница, снижение аппетита, и утомляемость.
При физическом методе диагностики у больного хорошо слышны хрипы (чаще всего мелкопузырчатые) и в районе воспаления притупляется звук. Хотя, по статистике, каждый пятый не имеет локальных симптомов.
Летняя пневмония: миф или реальность
Всегда считалось, что пневмония — это заболевание межсезонное. Ее возникновение провоцируют перепады температуры, заставляющие организм перестраиваться. И пока проходит адаптация, иммунитет снижен и человек готов к принятию и развитию вируса.
Сегодня медики с ужасом констатируют, что заболеть пневмонией летом тоже можно, причем с большой долей вероятности. Благоприятствуют этому высокая атмосферная температура и человеческая беспечность. Большая часть семей нашей страны пользуются кондиционерами, которые, охлаждая воздух в помещении, сильно пересушивают его. Такой воздух — прекрасная среда для развития патогенных микробов, и в частности легионеллы. И дальше как по накатанной. Интоксикация организма, нарушение сна, апатия, потеря аппетита, одышка, мучительный отхаркивающий кашель с гнойными выделениями…
Post scriptum
Поцелуй при пневмонии не так страшен, как рукопожатие!










