Пневмония – это воспалительное заболевание, которое поражает легкие. Пневмония встречается достаточно часто и, несмотря на положительный прогноз лечения, может приводить к тяжелым последствиям. Одним из видов заболевания является правосторонняя среднедолевая пневмония. В этом случае поражается средняя доля правого легкого. Заболевание требует срочного обследования и лечения. В Юсуповской больнице лечением пневмонии занимаются опытные терапевты и пульмонологи. Врачи используют в своей работе международные протоколы лечения, которые доказали свою эффективность множеством исследований и практикой.
Особенности заболевания
Легкие человека – это парный орган, их делят на левое и правое легкое. Каждое легкое состоит из долей: в правом легком – три доли, в левом – две. Каждая доля делится на сегменты, которые вентилируются отдельным сегментарным бронхом и имеют соответствующую ветвь легочной артерии. Наиболее часто пневмония развивается в правом легком. Главный бронх правого легкого имеет вертикальное направление и является продолжением трахеи. Он разветвляется в каждую долю легкого. Бронх средней доли самый длинный и узкий, поэтому воспалительный процесс чаще всего возникает в этом участке.
Правосторонняя среднедолевая пневмония подразумевает воспаление в средней доле правого легкого с вовлечением в инфекционный процесс легочной ткани и альвеол. Если поражается только один сегмент легкого, говорят о сегментарной или очаговой пневмонии. При поражении двух и более сегментов развивается долевая пневмония. Если инфекционный процесс распространяется на плевральную оболочку, пневмонию называют крупозной: заболевание имеет тяжелое течение, может приводить к серьезным осложнениям (дыхательная недостаточность, токсический шок, сердечно-легочная недостаточность, кома).
Правосторонняя среднедолевая пневмония чаще имеет бактериальную природу. Наиболее часто ее возбудителями являются:
- стафилококк,
- гемофильная палочка,
- пневмококк,
- стрептококк,
- микоплазмы,
- хламидии,
- легионеллы.
Симптомы
Очаговая правосторонняя среднедолевая пневмония развивается постепенно. В начале заболевания больной ощущает общую слабость, температура тела поднимается до 37,5ºС, появляется озноб. Далее возникает кашель со скудной мокротой. В процессе развития пневмонии состояние больного ухудшается, интоксикационный синдром усиливается, появляется гнойное отделяемое при кашле (нередко с кровью), возникают боли в груди преимущественно с правой стороны. Больному тяжело дышать, отмечается одышка.
При появлении первых симптомов следует незамедлительно обратиться к врачу. Важно знать, что возбудители пневмонии размножаются очень быстро, и каждый день без должного лечения может в дальнейшем привести к тяжелым последствиям. В Юсуповской больнице пациенты с пневмонией получают всю необходимую помощь. Больному проведут обследование и на основании полученных данных назначат адекватное лечение.
Диагностика
Для выявления пневмонии и ее вида используют комплексный подход:
- сбор анамнеза. Врач выясняет, когда появились первые симптомы заболевания. Пациент должен подробно рассказать о своих ощущениях, сообщить о наличии хронических заболеваний, если они есть;
- физикальный осмотр. При аускультации прослушиваются мелкопузырчатые хрипы. Фиксируется бронхофония, ослабленное везикулярное дыхание. Во время перкуссии отмечается притупление легочного звука;
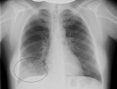
- рентгенография. При правосторонней среднедолевой пневмонии на рентгеновском снимке визуализируется затемнение участка в средней доле правого легкого, наличие одиночного или множественных очагов;
- общий анализ крови. У больных пневмонией происходит увеличение количества лейкоцитов, увеличение нейтрофилов, ускорение СОЭ, снижение уровня гемоглобина и тромбоцитов;
- бактериологический анализ мокроты. Проводится микроскопия мазка, посев на специальную питательную среду для определения возбудителя.
Для диагностики заболевания специалисты Юсуповской больницы используют высокоточную аппаратуру, что позволяет достоверно определять вид и характер заболевания. Качественная и достоверная диагностика является ключевым фактором в назначении правильной терапии.
Лечение
Специалисты Юсуповской больницы рекомендуют проходить лечение пневмонии в стационаре. Это позволяет получать лучшие результаты лечения. В условиях стационара больной находится под постоянным контролем медицинского персонала. В случае изменения состояния пациенту окажут необходимую помощь. В стационаре врач может оценивать эффективность терапии каждый день и вносить соответствующие корректировки при необходимости.
Основные принципы терапии не будут отличаться независимо от того, правосторонняя среднедолевая пневмония или правосторонняя верхнедолевая пневмония. Лечение пневмонии выполняют антибиотиками или противовирусными препаратами, в зависимости от природы возбудителя. Среди антибиотиков препаратами выбора являются амоксициллин, азитромицин, аугментин, ровамицин. Препараты имеют широкий спектр действия, к ним чувствительны бактерии, наиболее часто вызывающие пневмонию. Среди противовирусных препаратов используют средства для угнетения размножения вируса, а также для подавления синтеза вирусной РНК.
Дополнительно используют муколитики (разжижают мокроту без увеличения ее объема) и отхаркивающие средства (улучшают отхождение мокроты). При повышении температуры выше субфебрильных цифр применяют жаропонижающее. Для поддержания защитных сил организма назначают иммуномодуляторы и комплексы витаминов. В случае выраженного интоксикационного синдрома используют инфузионную терапию. Она позволяет восполнить потерю жидкости и нормализовать водно-электролитный баланс. При снижении уровня кислорода в крови применяют оксигенотерапию.
Читайте также:
Чем лечить пневмонию у ребенка в стационаре
В Юсуповской больнице пациенты проходят полный курс терапии пневмонии, включая все необходимые процедуры для скорейшего выздоровления и быстрого восстановления организма после болезни. Пациентам предоставляются комфортные условия пребывания: палаты оснащены кондиционером, удобными кроватями, средствами личной гигиены. Рядом с территорией больницы есть чудесный парк, где пациенты (с разрешения лечащего врача) могут отдыхать и приятно проводить время.
Записаться на прием к терапевту или пульмонологу, получить консультацию других специалистов можно по телефону.
Автор
Доктор медицинских наук, профессор, врач высшей квалификационной категории
Список литературы
- МКБ-10 (Международная классификация болезней)
- Юсуповская больница
- «Болезни органов дыхания». Руководство под ред. акад. РАМН, проф. Н.Р.Палеева. М., Медицина, 2000г.
- Дыхательная недостаточность и хроническая обструктивная болезнь легких. Под ред. В.А.Игнатьева и А.Н.Кокосова, 2006г., 248с.
- Илькович М.М. и др. Диагностика заболеваний и состояний, осложняющихся развитием спонтанного пневмоторакса, 2004г.
Наши специалисты
Доктор медицинских наук, профессор, врач высшей квалификационной категории
Заместитель генерального директора по медицинской части, терапевт, гастроэнтеролог, к.м.н.
Врач-эндоскопист
Цены на диагностику правосторонней среднедолевой пневмонии
*Информация на сайте носит исключительно ознакомительный характер. Все материалы и цены, размещенные на сайте, не являются публичной офертой, определяемой положениями ст. 437 ГК РФ. Для получения точной информации обратитесь к сотрудникам клиники или посетите нашу клинику.
Скачать прайс на услуги
Мы работаем круглосуточно
Сегментарная пневмония – это заболевание, которое характеризуется возникновением воспалительного процесса в одном из сегментов лёгкого. От очаговой пневмонии отличается тем, что поражает большую площадь этого органа и имеет более тяжёлое течение. В подавляющем большинстве случаев, развитию воспаления предшествует проникновение в человеческий организм болезнетворных агентов, оказывающих неблагоприятное влияние. Однако пульмонологи выделяют ряд дополнительных предрасполагающих факторов.
Такая разновидность воспаления лёгких клинически выражается в остром начале, резком возрастании температуры, ярко выраженной интоксикации организма и сильной болью в груди, может принимать затяжное течение и привести к развитию осложнений.
Основу диагностики составляют инструментальные обследования пациента, которые дополняются физикальным осмотром, изучением истории болезни и лабораторными исследованиями.
Как лечить сегментарную пневмонию может сказать только врач. Зачастую это консервативные методы, которые предполагают приём медикаментов и выполнение физиотерапевтических процедур. Стоит отметить, что терапия народными средствами в этом случае не только не эффективна, но и может усугубить состояние больного.
Этиология
Как и другие формы воспалительного процесса с локализацией в лёгких, сегментарная пневмония возникает на фоне проникновения в организм человека бактерий. Наиболее часто возбудителями недуга становятся:
- пневмококки;
- стрептококки;
- стафилококки;
- гемофильные палочки.
В несколько раз реже патологическими агентами выступают:
- легионелла;
- хламидия;
- микоплазма.
Крайне редко источником инфекции становятся:
- синегнойные палочки;
- клебсиеллы;
- кишечные палочки;
- ацинобактерии.
Однако, несмотря на бактериальное происхождение, спровоцировать воспаление также могут вирусы, среди которых:
- аденовирус;
- возбудители ОРВИ;
- возбудитель туберкулёза;
- вирус парагриппа и другие респираторные вирусы.
Возбудители пневмонии в зависимости от условий инфицирования
Слабость иммунной системы – это главный предрасполагающий фактор, приводящий к тому, что патогенные микроорганизмы вызывают воспаление. Помимо иммунодефицитных состояний любой природы, в значительной степени повысить вероятность развития недуга могут:
- патологии бронхов, в частности бронхит и астма, хроническая обструкция и бронхоспазм;
- недуги лёгких, а именно ХОБЛ и плеврит, пневмоторакс и туберкулёз, а также злокачественные или доброкачественные новообразования;
- заболевания со стороны сердечно-сосудистой системы;
- онкологические процессы любой локализации;
- продолжительная искусственная вентиляция лёгких;
- многолетний стаж курения;
- бесконтрольный приём медикаментов;
- отравление токсинами;
- протекание экссудативно-катарального диатеза у детей;
- длительное переохлаждение организма;
Стоит отметить, что основную группу риска составляют дети и лица пожилого возраста. Тем не менее не исключается вероятность развития болезни у людей трудоспособной возрастной категории.
Также следует учитывать, что в каждом лёгком выделяется по несколько сегментов, которые по форме напоминают усечённый конус, а его верхушка направлена на корень лёгкого. Верхняя доля правого лёгкого включает в себя следующие сегменты:
- верхушечный;
- задний;
- передний.
Читайте также:
Частота пульса у детей при пневмонии
Средняя доля состоит из латерального и медиального сегмента, а нижняя из пяти частей, среди которых:
- верхний;
- медиальный базальный;
- передний базальный;
- латеральный базальный;
- задний базальный.
Верхняя доля лёгкого, расположенного слева, образована такими сегментами:
- верхушечным;
- задним;
- передним;
- верхним язычковым;
- нижним язычковым.
Составляющие нижней доли левого лёгкого полностью совпадают с сегментами правого лёгкого.
Классификация
По своему этиологическому фактору сегментарная пневмония у детей и взрослых бывает:
- первичной – это означает, что патология выступает в качестве самостоятельного недуга и вызывается одним из вышеуказанных микроорганизмов;
- вторичной – характеризуется тем, что развивается на фоне иных патологий, т. е. выступает их осложнением.
Первичный воспалительный процесс в том или ином сегменте лёгких делится на:
- типичный – обуславливается влиянием бактерий из категории самых распространённых возбудителей;
- атипичный – в таких случаях воспаление вызвано редкими разновидностями возбудителя;
- вирусный – вызван увеличением численности вирусов;
- грибковый – в качестве первопричины наиболее часто выступает аспергилла или кандида;
- лекарственный;
- токсический.
Помимо этого, существует несколько путей заражения, через которые патогенные микроорганизмы проникают в человеческий организм:
- бронхогенный – возбудитель болезни попадает через вдыхаемый воздух;
- гематогенный – с током крови;
- метастатический – из иного очага воспаления в организме.
Разделение недуга в зависимости от места, где произошло заражение:
- внебольничная или домашняя сегментальная пневмония;
- нозокомиальная или внутрибольничная пневмония;
- воспаление, связанное с оказанием медицинской помощи, в частности процедура искусственной вентиляции лёгких.
Классификация пневмонии
По тяжести протекания недуг проходит три степени:
- лёгкую;
- среднетяжелую;
- тяжёлую.
В зависимости от количества поражённых сегментов заболевание делится:
- собственно сегментарную пневмонию – при этом поражается лишь один сегмент левого или правого лёгкого;
- полисегментарную пневмонию – о таком типе говорят тогда, когда в патологию вовлекается одновременно несколько сегментов;
- субсегментарная пневмония – это воспаление части лёгочного сегмента, т. е. полностью верхней, средней или нижней доли.
Помимо этого, по локализации воспалительного очага выделяют левостороннюю и правостороннюю сегментарную пневмонию.
Симптоматика
В тех ситуациях, когда воспаление имеет бактериальную или вирусную природу, целесообразно отметить продолжительность периода инкубации – это промежуток времени с момента проникновения патологического агента до проявления первых внешних признаков. При типичных формах инкубационный период составляет примерно трое суток, а при атипичных может продолжаться до трёхнедельного срока.
Характерной особенностью такой разновидности воспаления лёгких является её острое начало, отчего основными симптомами сегментарной пневмонии у взрослых и детей принято считать:
- резкое возрастание температуры до 39 градусов;
- разбитость и сильные головные боли;
- повышенное потоотделение и снижение работоспособности;
- ломоту в теле и иные признаки интоксикационного синдрома;
- нарушение ЧСС;
- спутанность сознания и судорожные припадки – наиболее часто наблюдаются у детей;
- редкий сухой кашель, во время которого слышен характерный свист. По мере прогрессирования воспаления появляется мокрота;
- болезненность в области эпигастрия;
- боли в грудной клетки со стороны поражённого сегмента. Примечательно то, что левосторонняя сегментарная пневмония встречается в несколько раз реже правосторонней;
- понижение аппетита;
- приступы тошноты и рвоты;
- одышка;
- расстройство акта дефекации;
- нездоровый румянец на лице.
Диагностика
Чтобы клиницист смог заподозрить протекание именно сегментарной пневмонии, необходимо проведение не только ряда лабораторно-инструментальных обследований, но также манипуляций, выполняемых непосредственно пульмонологом.
Таким образом, первый этап установления правильного диагноза включает в себя:
- ознакомление с историей болезни – для выявления хронического недуга, который мог бы привести к развитию сегментарного воспаления в лёгких;
- сбор и анализ жизненного анамнеза больного;
- тщательный физикальный осмотр, направленный на прослушивание пациента при помощи фонендоскопа и измерение температуры;
- детальный опрос пациента – это нужно чтобы установить первое время появления и степень выраженности симптоматики, что, в свою очередь, укажет на тяжесть протекания недуга.
Лабораторно-инструментальные диагностические мероприятия включают в себя:
- общеклинический анализ крови;
- биохимию крови;
- анализ мокроты, выделяемой при кашле;
- бактериальный посев крови;
- рентгенографию грудной клетки;
- КТ и МРТ.
Рентгенограмма лёгких при сегментарной пневмонии
Все вышеуказанные процедуры позволяют не только поставить правильный диагноз, но также дифференцировать сегментальную пневмонию от:
- туберкулёза лёгких;
- первичного или метастатического рака левого или правого лёгкого;
- инфаркта лёгкого;
- облитерирующего бронхиолита;
- постороннего предмета в бронхах;
- очаговой, интерстициальной и лобарной формы пневмонии.
Лечение
Диагноз сегментарная пневмония предполагает проведение лечения в амбулаторных условиях, но исключение составляют дети и тяжёлое протекание воспалительного процесса.
Читайте также:
Пневмония после операции на сердце прогноз
Чтобы избавиться от болезни достаточно консервативных методик терапии, а именно:
- приёма лекарственных препаратов;
- дезинтоксикационного лечения;
- физиотерапевтических процедур.
Медикаментозное лечение болезни предусматривает применение:
- антибиотиков – их принимают курсом не менее двух недель;
- муколитиков и отхаркивающих веществ;
- бронхолитических средств;
- антипиретиков;
- антигистаминных лекарств;
- глюкокортикостероидов;
- седативных препаратов;
- жаропонижающих, обезболивающих и других медикаментов, направленных на купирование симптоматики.
Помимо этого, лечащий врач может назначить пациенту такие физиотерапевтические процедуры:
- УФО и УВЧ;
- лекарственный электрофорез;
- индуктотермия;
- оксигенотерапия.
Оксигенотерапия
В обязательном порядке лечение должно дополняться:
- вибромассажем грудной клетки;
- дыхательной гимнастикой;
- лечебным массажем.
Зачастую достаточно трёх недель комплексной терапии для полного выздоровления пациента.
Возможные осложнения
Наиболее часто развитие последствий обуславливается самостоятельными попытками вылечить заболевание народными средствами. В таких ситуациях не исключается формирование:
- хронической пневмонии;
- эмпиемы плевры;
- локального пневмосклероза;
- острой сердечной недостаточности;
- бронхоэктазов;
- фиброзного или серозного плеврита;
- абсцесса или коллапса лёгкого;
- артериальной гипотензии;
- кардиоваскулярного или обструктивного синдрома;
- нейротоксикоза.
Профилактика и прогноз
Специфических профилактических мер от сегментарной пневмонии не существует, но среди мероприятий, которые снижают вероятность формирования воспалительного процесса, стоит выделить:
- вакцинация против бактерий и вирусов, которые могут выступать в качестве возбудителя болезни;
- полный отказ от пагубных пристрастий;
- рациональное и сбалансированное питание;
- избегание переохлаждения организма;
- по возможности сведение к минимуму влияния стрессовых ситуаций;
- своевременное устранение патологий, которые могут выступать базовым недугом, на фоне которого развивается сегментарная пневмония;
- приём лекарств, выписанных только лечащим врачом;
- отказ от применения средств народной медицины для купирования первых признаков подобного заболевания – это нужно для предупреждения осложнений;
- регулярное прохождение полноценного осмотра в клинике.
Ранняя ликвидация болезни приводит к тому, что сегментарное воспаление лёгких зачастую имеет благоприятный прогноз. Несмотря на то что осложнения развиваются достаточно редко, они могут привести к летальному исходу.
Все ли корректно в статье с медицинской точки зрения?
Ответьте только в том случае, если у вас есть подтвержденные медицинские знания
Читать нас на Яндекс.Дзен
Заболевания со схожими симптомами:
Воспаление лёгких (официально – пневмония) – это воспалительный процесс в одном или обоих дыхательных органах, который обычно имеет инфекционную природу и вызывается различными вирусами, бактериями и грибками. В древние времена эта болезнь считалась одной из самых опасных, и, хотя современные средства лечения позволяют быстро и без последствий избавиться от инфекции, недуг не потерял своей актуальности. По официальным данным, в нашей стране ежегодно около миллиона людей страдают воспалением лёгких в той или иной форме.
…
Желтуха (совпадающих симптомов: 12 из 20)
Желтуха – патологический процесс, на формирование которого влияет большая концентрация в крови билирубина. Диагностировать недуг могут как у взрослых, так и у детей. Вызвать такое патологическое состояние способно любое заболевание, и все они абсолютно разные.
…
Астма (совпадающих симптомов: 10 из 20)
Астма — хроническое заболевание, которое характеризуется кратковременными приступами удушья, обусловленное спазмами в бронхах и отёком слизистой оболочки. Определённой группы риска и возрастных ограничений эта болезнь не имеет. Но, как показывает медицинская практика, женщины болеют астмой в 2 раза чаще. По официальным данным, на сегодня в мире проживает более 300 миллионов людей, больных астмой. Первые симптомы болезни проявляются чаще всего в детском возрасте. Люди пожилого возраста переносят заболевание намного сложнее.
…
Лёгочная недостаточность – состояние, характеризующееся неспособностью лёгочной системы поддерживать нормальный газовый состав крови, или же он стабилизируется за счёт сильного перенапряжения компенсаторных механизмов аппарата внешнего дыхания. Основа данного патологического процесса – нарушение газообмена в лёгочной системе. Из-за этого в тело человека не поступает требуемый объем кислорода, а уровень углекислого газа постоянно возрастает. Все это становится причиной кислородного голодания органов.
…
Предменструальный синдром – комплекс болезненных ощущений, которые возникают за десять дней до начала менструации. Признаки проявления данного расстройства и их совокупность имеют индивидуальный характер. У одних представительниц женского пола могут выражаться такими симптомами, как головная боль, резкая смена настроения, депрессия или плаксивость, а у других – болезненные ощущения в молочных железах, рвота или постоянные боли внизу живота.
…








