Очаговая пневмония составляет 2/3 всех случаев воспаления легких
В статье говорится об очаговой пневмонии — серьезной патологии легких. Описаны симптомы заболевания у детей и взрослых, методы диагностики, способы лечения.
Очаговая пневмония развивается, как у детей, так и у взрослых. Наиболее часто ее диагностируют в сезон эпидемии вирусных заболеваний и гриппа.
Суть патологии
Очаговая пневмония — это процесс воспаления в ткани легких, который локализуется в отдельных альвеолах и прилежащих к ним бронхах.
Очаговые пневмонии разделяют на несколько групп с учетом условий их возникновения:
внебольничная — человек заболевает вне лечебного заведения;
внутрибольничная или госпитальная — человек заболевает после 48 часов пребывания в лечебном учреждении;
пневмония при сниженном иммунитете — у ВИЧ-инфицированных, при врожденном иммунодифиците;
аспирационная — возникает при попадании содержимого желудка в бронхи.
Также пневмонии разделяют по тяжести течения на тяжелые и амбулаторные.
При очаговой пневмонии поражаются отдельные альвеолы и бронхиолы
Причины заболевания
Очаговая бронхопневмония может быть вызвана большим количеством микроорганизмов — вирусы, бактерии, грибы. Чаще всего эта патология является вторичной, то есть развивается на фоне острых респираторных инфекций, кори, менингита, скарлатины.
Таблица №1. Причины развития разных видов пневмоний:
Тип пневмонииВозбудительВнебольничная
стрептококки;
микоплазма;
легионелла;
хламидии;
золотистый стафилококк;
кишечная палочка;
вирус гриппа.
Внутрибольничная
золотистый стафилококк;
синегнойная палочка;
протеи;
грибы рода кандида;
пневмоциты;
вирусы.
Пневмония при иммунодефиците
цитомегаловирус;
пневмоциты;
грибы.
АспирационнаяМикрофлора из ротовой полости и глотки.
Проникать в легочную ткань микроорганизмы могут несколькими путями:
при заглатывании мокроты;
при вдыхании зараженного воздуха;
с током крови из хронического очага инфекции;
при ранении грудной клетки.
Попадая в альвеолы, микроорганизмы оседают в них и вызывают воспалительный процесс.
Пневмония в большинстве случаев вызвана бактериями
Симптомы
Симптомы очаговой пневмонии несколько различаются у детей и взрослых. Клиническая картина также зависит от того, насколько поражена ткань легких, от вида возбудителя болезни, состояния организма человека, наличия сопутствующих заболеваний.
Симптомы у взрослых
Пациенты жалуются на одышку, боль в груди, повышенную температуру тела, кашель, слабость, потерю аппетита. При осмотре выявляются цианоз на фоне бледной кожи. Дыхание может быть учащенным.
При тяжелом течении болезни у пациента может быть расстройство сознания, бред. Пальпация выявляет усиление голосового дрожания, что является признаком уплотнения легочной ткани. При прослушивании слышны сухие или влажные хрипы.
Человека беспокоит одышка и кашель
Симптомы у детей
У маленьких детей начало развития болезни может быть, как постепенным, так и стремительным. Мелкоочаговая пневмония у детей проявляется симптомами интоксикации: повышение температуры, вялость, обложенность языка, головная боль, нарушение сна, лихорадка. Появляются кашель, одышка, иногда ребенок жалуется на боли в боку.
У детей раннего возраста пневмония может начаться с появления катаральных изменений — насморк, чихание, сухой кашель, фебрильная или субфебрильная температура. Иногда отмечается нарушение стула, рвота. При прослушивании выявляется ослабленное дыхание, многочисленные хрипы.
Диагностика
После проведенного клинического обследования, врач направляет пациента на инструментальное и лабораторное исследование:
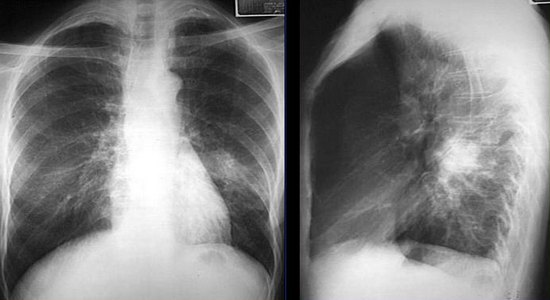
- Рентгенологическое исследование. Рентгенограмма легких в двух проекциях выявляет множество сливающихся теней размером до 2 сантиметров (фото).
- Компьютерная томография. Ее применяют при наличии сомнений в диагнозе, для выявления характера полостных заболеваний. Но цена этой процедуры высока, и применяют ее не во всех медицинских учреждениях.
- Спирометрия. Это метод исследования функций легких. Он позволяет измерить объем легких при дыхании и выдыхании воздуха, скорость дыхания. Как проводится процедура, расскажет специалист в видео в этой статье.
- Исследование мокроты. Проводится для определения возбудителя болезни.
- Анализ крови. У пациентов с пневмонией выявляют уменьшение числа лейкоцитов, увеличение СОЭ. Отсутствие реакции крови при выявленных клинических признаках говорит о пониженном иммунитете пациента.
После установления диагноза назначается соответствующее лечение.
Очаговая пневмония на рентгенограмме
Читайте также:
Сколько может длиться кашель после пневмонии у ребенка
Лечение пневмонии
Лечение очагового воспаления легких проводится амбулаторно или в стационаре.
Показаниями для госпитализации являются:
детский возраст или возраст старше 70 лет;
дыхательная недостаточность;
недостаточность кровообращения;
наличие хронических заболеваний;
признаки развития осложнений.
Пожилой возраст — показание для госпитализации при пневмонии
Осложнения очаговой пневмонии — плеврит, менингит, абсцесс, миокардит. В остальных случаях лечение очаговой пневмонии проводится на дому с обязательным посещением врача.
Таблица №2. Визиты врача к пациенту с пневмонией:
ПосещениеМероприятия1 посещениеПри первом посещении ставится диагноз, если нет повода для госпитализации, назначается лечение и дополнительное обследование (рентген, анализы).2 посещениеСпециалист приходит на третий день болезни. Оценивает рентгенографические и лабораторные данные, клиническую эффективность терапии. Если эффект от лечения отсутствует, показана госпитализация.3 посещениеНа шестой день болезни оценивается эффективность лечения. Если состояние пациента нормализовалось, продолжается антибактериальная терапия, назначается повторная рентгенография, анализ крови и мокроты.4 посещениеНа 7-10 день болезни оцениваются состояние пациента, результаты инструментального и лабораторных исследований. При удовлетворительном состоянии пациента закрывается больничный лист.
Лечение пневмонии должно быть комплексным. В него входят медикаментозная терапия и вспомогательное лечение.
Лечение контролируется врачом
Медикаментозная терапия
Назначается антибактериальная терапия. Выбор препарата зависит от вида возбудителя очаговой пневмонии. Кроме антибиотиков, пациент принимает муколитические и антигистаминные препараты, бронхолитические средства, витамины.
Препараты для лечения пневмонии широко представлены в аптеках. Для удобства использования в каждой лекарственной упаковке имеется подробная инструкция по применению.
Вспомогательное лечение
Одновременно с медикаментозной терапией пациенту необходим постельный режим, полноценное питание и обильное питье. Для ускорения выздоровления и предупреждения развития осложнений назначается дыхательная гимнастика и физиопроцедуры.
Таблица №3. Вспомогательные методы лечения:
Методы леченияВоздействие на организм
Дыхательная гимнастика
Упражнения для облегчения отхождения мокроты
Применяется, как дополнение к основному лечению. Упражнения можно начинать на второй день после нормализации температуры. Ежедневное выполнение упражнений улучшает ритм дыхания, увеличивает амплитуду движения легких и грудной клетки, усиливает кровообращение и отхождение мокроты. Занятия прекращаются при ухудшении состояния и повышении температуры.
Физиопроцедуры
Проведение ингаляции
Существует ряд физиопроцедур, которые успешно применяются в лечении пневмонии:
ультразвуковая аэрозольная ингаляция;
УВЧ-терапия;
электрофорез с антибиотиками;
облучение ультрафиолетом;
магнитотерапия.
Применение физиолечения ускоряет снятие воспалительного процесса, облегчает отхождение мокроты, помогает восстановить функции легких, улучшает общее самочувствие пациента.
Очаговая пневмония — серьезное заболевание. И прогноз зависит от множества факторов. Своевременное обращение к специалистам и грамотное лечение, существенно снижают риск развития осложнений и повышают вероятность скорейшего выздоровления.
Читать далее…
Очаговая пневмония – это воспалительно-инфекционное заболевание, которое затрагивает не всю лёгочную ткань, а лишь определённый её участок. При этом происходит формирование мелкоочагового или крупноочагового воспаления в дольках лёгкого. Патология может быть как самостоятельной, так и вторичной. В первом случае источником являются болезнетворные бактерии, а во втором – протекание иных недугов, негативно влияющих на ткани этого органа.
Симптоматика у болезни неспецифическая, т. е. характерная для довольно большого количества других заболеваний, что в значительной степени усложняет установление правильного диагноза. Основные симптомы зачастую представлены болью в груди, кашлем, сухим или с мокротой, а также лихорадкой и ознобом.
Диагностика очаговой пневмонии требует комплексного подхода и основывается на данных лабораторно-инструментальных мероприятий. Тактика терапии очень часто консервативная, включает в себя приём медикаментов, физиотерапию и массаж.
Этиология
Острая очаговая пневмония наиболее часто выступает в качестве осложнения, которое развивается на фоне тяжёлого течения или полного отсутствия лечения другой патологии. В таких ситуациях, формирование воспалительного процесса может быть обусловлено следующими недугами:
- инфарктом миокарда;
- приобретёнными, реже врождёнными пороками сердца;
- бронхитом и ОРВИ;
- злокачественными или доброкачественными опухолями;
- корью и коклюшем;
- менингитом и скарлатиной;
- острым катаром дыхательных путей;
- фурункулёзом и брюшным тифом;
- гриппом и сепсисом;
- хламидиозом и остеомиелитом;
- гнойным отитом и перитонитом;
- любыми патологиями гнойного характера;
- заболеваниями лёгких и органов дыхания, имеющих хроническое течение.
Читайте также:
Пневмония симптомы у лежачих больных
Примечательно то, что помимо вышеуказанных факторов, очаговая пневмония у детей может быть вызвана сильнейшей стрессовой ситуацией или нервным перенапряжением, а также влиянием таких факторов:
- переохлаждение организма;
- проникновение в бронхи инородного предмета;
- вдыхание токсических или ядовитых веществ.
В случаях, когда воспаление дольки лёгкого выступает в качестве самостоятельного недуга, патологию вызывает влияние болезнетворных агентов, которыми являются:
- пневмококки и стафилококки;
- стрептококки и кишечная палочка;
- протей и палочка Фриндлендера;
- вирусы гриппа А и В;
- микроскопические грибки;
- микоплазмы и аденовирус;
- вирус парагриппа и риновирус.
Необходимо учитывать, что наиболее часто вышеуказанные микроорганизмы влияют на развитие внебольничной пневмонии.
Также среди предрасполагающих факторов клиницисты выделяют:
- недостаток физической активности;
- снижение сопротивляемости иммунной системы;
- чрезмерное пристрастие к вредным привычкам, в частности к выкуриванию сигарет;
- нерациональное питание;
- гиповитаминоз;
- перенесённые ранее операции, причём неважно на какой области проводилось хирургическое вмешательство;
- длительное перегревание организма.
Патогенез очаговой пневмонии обладает некоторыми особенностями:
- локализация воспаления в одной или нескольких дольках лёгкого;
- медленное развитие патологического процесса, что объясняется небольшой площадью поражённой области;
- приобретение стенками лёгкого интенсивной проницаемости;
- плавный переход из одной степени тяжести в другую, симптоматика при этом резко не меняется.
Классификация
По типу очаговая пневмония у взрослых и детей может также протекать:
- аспирационная пневмония – развивается из-за проникновения в лёгкие посторонних предметов, влияния токсических веществ и сильнейшего алкогольного опьянения;
- застойная пневмония – формируется у тяжелобольных пациентов, которые прикованы к постели и нуждаются в сестринском уходе. Наиболее часто это происходит на фоне пороков сердца, запущенного сахарного диабета, ишемической болезни и инсульте, травмах позвоночного столба или черепа.
Классификация очаговых пневмоний
Существует несколько путей проникновения патологических агентов в человеческий организм:
- бронхогенный – такой механизм действует во время осуществления бронхоскопии или иных инструментальных диагностических процедур;
- гематогенный – приобретает значение, в случаях присутствия отдалённых септических очагов или при бактериемии;
- лимфогенный;
- воздушно-капельный;
- контагиозный – связан с непосредственным распространением возбудителя из соседних с лёгкими органов.
Заболевание проходит три стадии протекания:
- прилив – длится первые трое суток с момента влияния провоцирующего фактора;
- опеченение – при этом ткани поражённого участка лёгкого меняют свой оттенок. Продолжается такой этап с четвёртого по седьмой день течения воспаления;
- разрешение или выздоровление – начинается с седьмого дня и длится до полного восстановления нормального состояния пациента.
Классификация в зависимости от степени тяжести:
- лёгкая – симптоматика слабо выражена, иногда полностью отсутствует;
- среднетяжелая – клинические признаки становятся интенсивнее;
- тяжёлая или острая – у взрослых и у детей симптомы приводят к значительному ухудшению общего состояния.
Воспаление может развиваться при различных условиях, отчего выделяют:
- внебольничную или домашнюю очаговую пневмонию;
- нозокомиальную, госпитальную или внутрибольничную пневмонию;
- очаговую пневмонию, связанную с оказанием медицинской помощи.
По месту локализации воспалительного очага, заболевание делится на:
- правостороннюю пневмонию – диагностируется наиболее часто, что объясняется особенностью строения правого лёгкого – оно больше и шире левой половины;
- левостороннюю пневмонию;
- двустороннее поражение – при этом наблюдается воспаление долек как левого, так и правого лёгкого;
- верхнедолевую;
- среднедолевую;
- нижнедолевую пневмонию – встречается наиболее часто.
Отдельно выделяется очагово-сливная пневмония – при этом воспаление поражает несколько сегментов или долек лёгкого. Во время диагностики выражается наличием множественных отдельных областей, подверженных воспалительному процессу. Отличается тяжёлым течением и высокой вероятностью развития последствий.
Симптоматика
Клинические проявления будут несколько отличаться в зависимости от места локализации патологического очага.
Например, для двухсторонней очаговой пневмонии характерными будут:
- резкое повышение температуры, от которой очень сложно избавиться, даже при помощи жаропонижающих средств;
- сильные головные боли;
- интенсивная болезненность и жжение в груди. Такие неприятные симптомы склонны к обострению при вдохе;
- повышенное потоотделение;
- одышка и сухой кашель, к которому по мере прогрессирования болезни присоединяется мокрота. В таких случаях говорят про развитие гнойной пневмонии;
- бледность или синюшность кожи;
- появление высыпаний.
Читайте также:
Остаточные явления при пневмонии лечение
Правосторонняя нижнедолевая пневмония имеет следующие симптомы:
- дискомфорт и боли с локализаций в правой стороне грудной клетки;
- кашель с выделением мокроты, в которой могут присутствовать прожилки гноя или крови;
- озноб и лихорадка;
- выделение пота по ночам.
Изменения при пневмонии
Симптоматика левосторонней очаговой пневмонии представлена:
- субфебрильной температурой;
- тяжестью и болями в правом боку;
- сильным кашлем – может быть сухим или с выделением мокроты;
- ознобом и общей слабостью;
- одышкой и потливостью.
Любые виды пневмонии могут дополняться следующими клиническими проявлениями:
- понижение работоспособности;
- слабость и разбитость;
- появление хрипов при дыхании;
- мышечные и суставные боли;
- понижение или полное отсутствие аппетита;
- нарушение ЧСС;
- спутанность сознания;
- патологический румянец кожи лица;
- нездоровый блеск в глазах;
- боли в области живота;
- нарушение процесса опорожнения кишечника, что зачастую выражается в диарее;
- приступы тошноты и рвоты.
Последняя категория симптомов наиболее характерна для внебольничной очаговой пневмонии.
Все вышеуказанные признаки можно относить как к взрослым, так и к детям, только стоит учитывать, что у последних болезнь развивается быстрее и протекает тяжелее.
Диагностика
Поскольку правостороння или левосторонняя очаговая пневмония имеет самые разнообразные причины возникновения, то для установления окончательного диагноза и определения провоцирующего этиологического фактора потребуется осуществление широкого спектра лабораторно-инструментальных исследований.
Тем не менее, прежде всего, пульмонологу стоит самостоятельно провести ряд манипуляций:
- ознакомиться с историей болезни – для выявления хронического заболевания, которое могло послужить источником развития внебольничной очаговой пневмонии;
- анализ анамнеза жизни больного – для выяснения факта влияния того или иного предрасполагающего фактора, не имеющего патологической основы;
- тщательный физикальный осмотр – для оценивания состояния кожного покрова и прослушивания пациента при помощи фонендоскопа. Сюда также стоит отнести измерение температуры и ЧСС;
- детальный опрос – для установления степени выраженности симптоматики, что укажет на тяжесть протекания левосторонней или правосторонней очаговой пневмонии у ребёнка и взрослого.
Лабораторные диагностические мероприятия основываются на:
- ПЦР-тестах;
- общеклиническом анализе и биохимии крови;
- бактериальном посеве мокроты – для определения возбудителя болезни;
- анализе крови на гемокультуру;
- микроскопическом изучении смыва с бронхов.
Помимо этого, проводят такие инструментальные процедуры:
- рентгенография грудины;
- фибробронхоскопия;
- МРТ и КТ поражённого органа.
Рентгенограмма при очаговой пневмонии
Дифференцировать пневмонию, сопровождающуюся долевым поражением лёгкого, необходимо со следующими недугами:
- туберкулёз;
- альвеолярный рак лёгкого;
- формирование абсцесса;
- инфаркт лёгкого.
Лечение
В независимости от классификации, устранение подобного заболевания проводится консервативными методиками.
Лечение очаговой пневмонии основывается на приёме лекарственных препаратов, среди которых:
- антибактериальные вещества – применяются курсом не меньше двух недель;
- противовоспалительные лекарства;
- дезинтоксикационные средства;
- кортикостероиды;
- муколитики и бронхолитики;
- препараты для разжижения мокроты и облегчения её отхода;
- иммуномодуляторы;
- витаминные комплексы.
Подобное заболевание также лечится при помощи физиотерапевтических процедур, в частности:
- лекарственный электрофорез;
- УВЧ;
- ДВМ-терапия.
Помимо этого, терапия включает в себя курс лечебного массажа и ЛФК. При тяжёлом течении недуга обращаются к плазмаферезу.
Другое лечение очаговой пневмонии у детей и взрослых недопустимо.
Осложнения
Игнорирование клинических признаков и несвоевременная терапия чревата развитием следующих, довольно опасных осложнений очаговой пневмонии:
- формирование абсцессов или гангрены;
- токсический шок и сепсис;
- дыхательная недостаточность в острой форме;
- анемия и плеврит;
- лёгочное кровоизлияние;
- гломерулонефрит и менингоэнцефалит;
- миокардит и амилоидоз;
- сердечная недостаточность;
- эмпиема плевры.
Профилактика и прогноз
В качестве профилактических мероприятий, снижающих вероятность возникновения такого заболевания, могут выступать:
- вакцинация против возбудителей воспаления;
- отказ от вредных привычек;
- рациональное питание;
- недопущение переохлаждения или перегрева организма;
- избегание стрессовых ситуаций;
- своевременное лечение вирусных инфекций и других заболеваний органов дыхательной системы;
- регулярное прохождение полного медицинского осмотра.
Рациональное и раннее лечение приводит к тому, что очаговое воспаление лёгких имеет благоприятный прогноз. Осложнения развиваются довольно редко, отчего недуг практически никогда не приводит к летальному исходу.


